Autor : Saraguro Byron1 Obando Edgar2 Mafla Patricio2 Salazar Marco3
1 Médico Neumólogo Hospital General Instituto Ecuatoriano de Seguridad Social; Babahoyo - Ecuador 2Médico Radiólogo Hospital Metropolitano; Quito-Ecuador 3Cirujano torácico del Hospital Metropolitano de Quito, Ecuador
Correspondencia :Byron Leonel Saraguro RamÃrez - Ecuador. Provincia de Pichincha. Cantón Rumiñahui. Parroquia San Pedro de Taboada. Calle Gaspar Lema 159 - E-mail: byronsaraguromd@gmail.com
Descripción del
caso
Paciente
masculino de 32 años de edad sin comorbilidades, acude a servicio de
urgencias con cuadro clínico caracterizado por dolor en región
cervical anterior, tos con expectoración de color marrón de mal
olor y dolor torácico. Refiere como antecedente, diagnóstico de faringoamigdalitis hace un mes, para el cual recibió
tratamiento antibiótico intramuscular que no especifica. Al examen
físico presenta masa palpable a nivel de región cervical
anterior, dolor a la palpación torácica en séptimo espacio
intercostal izquierdo. A la auscultación frote pericárdico,
murmullo vesicular bilateral disminuido y frote pleural. Los estudios de
laboratorio demostraron leucocitosis (17230 k/ul), neutrofilia (79,25%), anemia leve (Hb
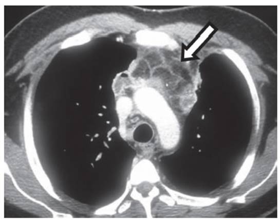
11 g/dl, Hcto 35,5%). La tomografía computarizada
contrastada de tórax, demostró presencia de edema y
líquido en los tejidos blandos superficiales anteriores infrahioideos del cuello por encima de la horquilla
esternal, y, en la fase contrastada trombosis de la vena yugular interna
izquierda (flecha Figura 1). A nivel de tórax ensanchamiento de
mediastino anterior con edema difuso de la grasa mediastinal,
líquido tabicado y varias colecciones de aspecto inflamatorio, hacia el
lado derecho colección con aire interno de 2,2 cm y otra en el borde
izquierdo adyacente a la ventana aortopulmonar de
mayor tamaño que mide 5,2 × 3,5 cm de similares características (Figura
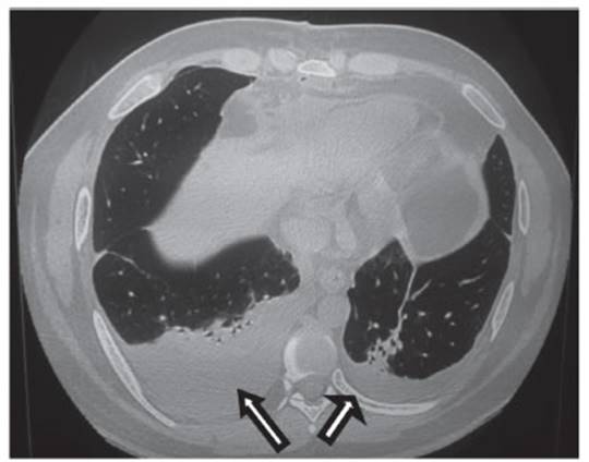
2), además, infiltrado parenquimatoso adyacente en bases pulmonares
bilaterales con broncograma aéreo (Figura
3).



Se
administró durante hospitalización antibioticoterapia
intravenosa (meropenem). Los cultivos de muestras
quirúrgicas fueron negativos. El paciente fue dado de alta sin
complicaciones con adecuada evolución de cuadro clínico y
controles periódicos ambulatorios.
Discusión
El
síndrome de Lemierre, conocido también
como sepsis post anginal, enfermedad olvidada o necrobaÂcilosis, es una patología poco frecuente,
pero potencialmente letal de la cabeza y el cuello. Su incidencia oscila entre
0,6 a 2,3 casos por millón de personas/año, con mayor prevalencia
en hombres, pacientes jóvenes, y adultos sanos. Fue descrita por
André Lemierre en una serie de veinte casos
publicados en The Lancet
en 19361.
Tiene
como antecedente un episodio previo de faringitis, seguido de fiebre,
tromboflebitis de la vena yugular interna, trombos sépticos a distancia
principalmente a pulmones (80%-100%), articulaciones (13%-27%), piel y tejidos
blandos (5%-16%), hueso (0%-9%), meninges (0%-3%), hígado, bazo,
riñones y sistema nervioso central2.
El
patógeno causal más frecuente es Fusobacterium necrophorum,
una bacteria Gram negativa anaerobia estricta, que forma parte de la flora
normal de la orofaringe, tracto gastrointestinal y
tracto genital femenino. Está presente en el 81% de los casos, a pesar
que en el 12% de los casos los hemoculÂtivos son negativos. Otros
microorganismos implicados son bacteroides como Estreptococo
del grupo B y C, estreptococos orales, enterococos,
Candida, Peptostreptococcus,
Eikenella corrodens, Porphyromonas asaccharolytica, Staphylococcus epidermitis y Proteus mirabilis3.
El
cuadro clínico se caracteriza por fiebre y odinofagia
de varios días de evolución (aproximadamente 1 semana), tras el
antecedente de una faringitis aparentemente resuelta. En el 87% de los casos
las tonÂsilas palatinas y el tejido peritonsilar son
el sitio de infección primario, otros focos infecciosos iniciales
descritos son otitis media aguda, infecciones de origen dental, mastoiditis,
sinusitis.
En
una segunda fase, existe invasión por parte de anaerobios orales del
espacio peritonsilar, y, proÂpagación de la
infección al espacio faríngeo lateral adyacente, el cual contiene
la vena yugular interna ocasionando tromboflebitis séptica de la misma,
principalmente por vía linfática, pero, también puede ser
por invasión directa o perivascular.
En
la zona cervical afectada, los pacientes presentan dolor y edema ipsilateral del cuello, por induración del ángulo
mandibular a lo largo del músculo esternocleidomastoideo, y, una
minoría puede presentar trismus, disfagia,
parálisis del músculo trapecio, síndrome de Horner y rotura carotídea.
El
tercer estadio es la infección metastásica,
produciéndose bacteriemia y extensión hematógena hacia
otros lugares.
El
sitio más común de embolización
séptica es el pulmón, traduciéndose
radiológicamente como infiltrados localizados o difusos bilaterales,
derrame pleural, cavitaciones, nódulos difusos, empiemas, abscesos
pulmonares, neumotórax, ocasionando frecuentemente fracaso respiratorio
agudo.
El
tratamiento debe instaurarse tras la sospecha clínica, sin esperar
confirmación microbiológica, dirigida a anaerobios, estafilococo
y estreptococo. Las penicilinas, cefalosporinas, clindamicina,
meÂtronidazol, cloranfenicol y tetraciclinas tienen
eficacia contra las especies de fusobacterium durante
períodos prolongados (2-6 semanas)3.
La
anticoagulación está usualmente reservada para casos de
propagación retrógrada de trombos, aunque esta medida aún
es controvertida por la mayoría de autores. Se requiere promover
investigaÂciones para establecer evidencia para consensos en el manejo antitrombótico de infecciones de cabeza y cuello con
secuelas trombóticas.
La
ligadura de la vena yugular interna es raramente requerida, aunque
podría ayudar a prevenir el embolismo en la diseminación de la
infección a pesar de terapia médica apropiada, y debería
consideÂrarse en pacientes con sepsis persistente de mal control y evidencia de
embolias sépticas4.
La cirugía está indicada para drenaje y limpieza de colecciones
purulentas como artritis, empiemas o abscesos de tejidos blandos3,
5.
Conclusión
El
síndrome de Lemierre es una patología
poco frecuente, que puede complicar la evolución de una infección
orofaríngea, incluso correctamente tratada. Se
debe dar énfasis en el reconocimiento de los hallazgos
radiológicos, en especial, en el contexto de un paciente joven, sin
déficit inmunitario, ni otros factores de riesgo predisponentes, que
cursa con trombosis de la vena yugular interna y manifestaciones
clínicas de embolias sépticas a distancia. El diagnóstico
y tratamiento antibiótico oportuno de pacientes con sospecha
clínica constituyen un factor importante para disminuir la
morbimortalidad.
Conflictos
de interés: Los
autores no presentan conflictos de interés.
Bibliografía
1.
Ouellette L, Barnes M, Flannigan
M, et al. Lemierre’s syndrome:
A forgotten complication of
acute pharyngitis. Am J Emerg Med. 2019; 37: 992-3.
2.
Ungprasert P, Srilavi N.
Diagnosis and treatment of Lemierre
syndrome. Am J Emerg Med 2015; 33: 1319.
3.
Stevens D, Bryant A. Necrotizing Soft-Tissue
Infections. N Engl J Med. 2017; 377: 2253-65.
4.
Kubota M, Daidoji H, Takaya N, Tokunaga K, Sonoo T, Nakamura K. Efficacy of non-vitamin K antagonist oral anticoagulants for Lemierre’s syndrome. Am J Emerg Med. 2016; 34(10): 2059.e3-2059.e5
5.
Jin H, Antunha C, de Paula
R, Caminha J, Macoto E. Lemierre syndrome: a rare complication of pharyngotonsillitis. Braz J Otorhinolaryngol. 2015; 81: 568-70.