Autor : Medinacelli Eduardo, Heres Marcela, Quadrelli Silvia
Servicio de NeumonologÃa, Fundación Sanatorio Güemes, Ciudad Autónoma de Buenos Aires, Argentina
Correspondencia : elmed.666@hotmail.com
Introducción
La varicela es una infección exantemática producida por el virus varicela zoster. La enfermedad se adquiere por inhalación de partículas que contienen el virus expulsadas de la nasofaringe de individuos infectados, ello resulta en una infección inicial del epitelio respiratorio1. Afecciones como el cáncer, corticoides, edad avanzada, tabaquismo o la infección por virus inmunodeficiencia adquirida deterioran la inmunidad celular constituyéndose en factores de riesgo para desarrollar neumonía, aunque la varicela también puede afectar a personas con inmunidad normal. El compromiso pulmonar varía entre formas poco sintomáticas e insuficiencia respiratoria, la hipoxemia grave temprana es el principal factor de mal pronóstico1. De las complicaciones asociadas a la varicela, encefalitis, meningitis, síndrome de Guillain Barré, pericarditis y pancreatitis, la neumonía es la más grave y frecuente y aparece casi exclusivamente en adultos2.
Caso clínico
Se describe el caso de un paciente de sexo masculino, de 69 años de edad, que ingresa con fiebre, dolor abdominal y lesiones maculopapulovesiculares generalizadas (Figura 1) que respeta regiones palmar y plantar. En sus antecedentes personales destaca el tabaquismo.

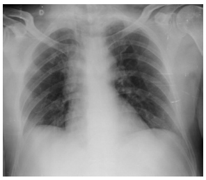
Examenes complementarios
En la radiografía de tórax (Figura 2) se aprecia mediastino ensanchado, opacidades de aspecto nodulillares bilaterales. Se realizó biopsia de lesión cutánea que informo efecto citopático viral y queratinocitos necróticos, lesiones éstas características de la familia herpes viridae.

Evolución y tratamiento
Dos días más tarde se presentan tos y disnea progresiva llegando a insuficiencia respiratoria.
La tomografía de tórax en ese momento revela (Figuras 3 y 4) imágenes en vidrio esmerilado difuso bilateral y consolidaciones parchadas bilaterales, con derrame pleural laminar bilateral. Se indica tratamiento con antibióticos y aciclovir, este último por sospecha de neumonía por varicela. En la Tabla 1, se describe los datos de laboratorio más destacados como anemia, neutrofilia, eritrosedimentación acelerada, aumento de transaminasas, hipoxemia, cultivos y anticuerpos específicos negativos.



A la semana se constata buena evolución clínica y radiológica.
Discusión
La incidencia de la neumonía por varicela es variable, se ha estimado en el 10 a 50% de todos los enfermos adultos con varicela1, siendo la edad en el 75% de los casos entre los 30 y 60 años. Esta entidad se asocia con una mortalidad del 10 a 30% en personas sanas y hasta un 50% en pacientes inmunodeprimidos o en aquellos con insuficiencia respiratoria2. El compromiso pulmonar suele desarrollarse 3 a 5 días después del inicio de la varicela y generalmente se presenta con fiebre, tos seca, disnea y, con menor frecuencia, dolor torácico y hemoptisis3. Las alteraciones analíticas más frecuentes son la trombocitopenia y la elevación de las transaminasas. El patrón radiológico más común es la neumonitis nodular con predominio en bases y/o regiones perihiliar o intersticial, pudiéndose acompañar de derrame pleural. La mejoría radiológica puede observarse en pocos días, aunque no es infrecuente la persistencia de lesiones residuales y microcalcificaciones pulmonares difusas durante meses4.
En el tratamiento de la neumonía por varicela está indicado el aciclovir durante 7 a 10 días, junto con medidas de soporte cardiorrespiratorio en los casos graves5. En pacientes con insuficiencia respiratoria será preciso asociar medidas de soporte ventilatorio, ya sea mediante ventilación invasiva o no invasiva en Unidades de Cuidados Intensivos6.
Conclusión
Consideramos que el curso clínico asociado a un adecuado examen físico, imágenes y datos de laboratorio encaminaron este caso hacia un diagnóstico certero y por consiguiente al manejo terapéutico más oportuno. Es de hacer notar que el cuadro viral en cuestión claramente no es exclusivo de determinados grupos etarios por consiguiente conviene estar atentos ante un cuadro exantemático y dificultad respiratoria.
1. Rodrigues J, Niederman MS. Pneumonia complicating pregnancy. Clin Chest Med 1992; 13: 679-691.
2. Yen H Q, Jumaan A O, Seward J F. Decline in mortality due to varicella after implementation of varicella vaccination in the United States. N Engl J Med 2005; 352: 450-458.
3. Fraisse P, Faller M, Rey D, Labouret N, Partisari M, et al. Recurrent varicella pneumonia complicating an endogenous reactivation of chickenpox in an HIV infectedadultpatient. EurRespir J 1998; 11(3): 776-778.
4. Conti JA, Karetzky MS. Varicella pneumonia in the adult. N Eng J Med, 1989; 86: 475-478.
5. Davidson RN, Lynn W, Savage P, Wansbrough J. Chickenpox pneumonia: experience with antiviral treatment. Thorax, 1998; 43: 627-630.
6. Pérez Llorens JC, Crusells Canales MJ, Araiz Burdiu JJ, Letona Carbajo S, Milastre Benito A, Cuesta Muñoz J. Síndrome de distrés respiratorio del adulto secundario a neumonía varicelosa en varón inmunocompetente. Ann Med Intern,1994; 4: 189-191.