Autor : AgustÃn Buero1, Silvia Quadrelli1, Domingo Chimondeguy2, Alejandro Lotti3, Bettiana Torterolo4
1Centro de OncologÃa Torácica. Hospital Británico de Bs. As. 2Servicio CirugÃa Torácica. Hospital Británico de Bs. As. 3Servicio de AnatomÃa Patológica. Hospital Británico de Bs. As. 4Servicio de Diagnóstico por Imágenes. Hospital Británico de Bs. As.
Correspondencia : AgustÃn Buero Domicilio postal: Perdriel 74 CABA- CP 12804EB Tel.: 1138290370 E-mail: a_buero@hotmail.com
Resumen
Los tumores mucoepidermoides que asientan en la tráquea y árbol bronquial son neoplasias infrecuentes. Representan menos del 5% de las neoplasias pulmonares. Se presenta un paciente de sexo masculino, de 29 años de edad, que consultó por presentar tos con expectoración asociado a registros febriles de 8 meses de evolución, sin pérdida de peso ni hemoptisis. La TAC reveló una atelectasia del lóbulo superior izquierdo y una imagen de aspecto polipoideo de 16 mm localizada en el bronquio fuente izquierdo. En la fibrobroncoscopía se observó una tumoración polipoidea a 18 mm de la bifurcación traqueal. Se realizó una resección en manguito con anastomosis bronquial termino-terminal. El estudio anatomopatológico de la pieza informó como carcinoma mucoepidermoide bien diferenciado. El paciente presentó una buena evolución postoperatoria con un egreso hospitalario al quinto día.
Palabras clave: Tumor bronquial; Carcinoma mucoepidermoide; Cirugía; Resección en manguito.
Abstract
Bronchial Mucoepidermoid Carcinoma: A Case Report and Literature Review
Mucoepidermoid tumors of the trachea and bronchi are uncommon neoplasms, and represent less than 5% of all pulmonary neoplasms. We present a 29-year-old patientwho was referred to our hospital with complaints of cough with expectoration together with intermittent fever during 8 months without weight loss or hemoptysis. The CT scan of the chest revealed left upper lobe atelectasis and a polypoid mass in the left main bronchus with a diameter of about 16 mm. Bronchoscopy revealed a polypoidendobronchial tumor at 18 mm from tracheal bifurcation. The patient underwent a sleeve resection with bronchial anastomosis. The hystopathological analysis of post-operative material confirmed the diagnosis of a low grade, well-differentiated mucoepidermoid carcinoma. There were no complications during the post-operative period and the patient was discharged from hospital on the fifth day after surgery.
Key words: Bronchial tumor; Mucoepidermoid carcinoma; Surgery; Sleeve resection.
Introducción
Los tumores mucoepidermoides que asientan en la tráquea y árbol bronquial son neoplasias infrecuentes. Antiguamente se incluían bajo la categoría de adenomas bronquiales. Se comportan clínica y morfológicamente similares a los que afectan las glándulas salivales1 y representan menos del 5% de las neoplasias pulmonares2.
Reporte de caso
Paciente de sexo masculino, de 29 años de edad, sin antecedentes patológicos de relevancia, consultó por presentar tos con expectoración asociado a registros febriles de 8 meses de evolución. No refirió pérdida de peso ni hemoptisis.
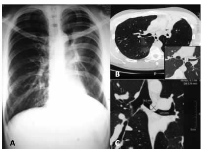
Al examen físico presentaba disminución de los ruidos respiratorios y de las vibraciones vocales asociados a sibilancias en el hemi-tórax izquierdo. En la radiografía de tórax se observó una pérdida de volumen a nivel del campo pulmonar superior izquierdo (Figura 1A). La TAC reveló una atelectasia del lóbulo superior izquierdo y una imagen de aspecto polipoideo de 16mm localizada en el bronquio fuente izquierdo (Figura 1B-C).

La fibrobroncoscopía mostró una tumoración polipoidea en el bronquio fuente izquierdo a 18mm de la bifurcación traqueal (Figura 2A). La misma obstruía por completo la luz del bronquio. Al sospechar que se trataba de un tumor carcinoide, se decidió no tomar biopsias ya que el resultado de la misma no iba a modificar la conducta quirúrgica. Se realizó una resección en manguito con anastomosis bronquial termino-terminal. El estudio anatomopatológico de la pieza informó como carcinoma mucoepidermoide bien diferenciado de bajo grado de 2 × 1.5 cm (Figura 2B-C-D). La inmunomarcación reveló positividad para p53, citoqueratina AE1-AE3, CEA y un Ki67 del 3%. Los márgenes se encontraban libres de enfermedad. El paciente presentó una buena evolución postoperatoria con un egreso hospitalario al quinto día.

Discusión
Los carcinomas mucoepidermoides (MECs) que afectan a los bronquios son habitualmente neoplasias bien circunscriptas cubiertas por mucosa bronquial normal que se caracterizan por invasión local con baja diseminación a distancia3. Los MECs de BAJO GRADO (como el caso que se presenta) deben diferenciarse de los MECs de alto grado y carcinomas adenoescamosos, por ser estos dos últimos de peor pronóstico y tratamiento diferente4. Los MECs se originan en las glándulas bronquiales. El de bajo grado se localiza en el centro de las mismas y tiene características histológicas similares a las glándulas salivares contiguas con mezcla de glándulas mucinosas y células escamosas con o sin atipia. Si bien los de alto grado son más difíciles de diferenciar de los carcinomas adenoescamosos, estos últimos presentan queratinización mientras que en los de alto grado está ausente, así como rara vez presentan carcinoma in situ.
El tratamiento quirúrgico empleado para los MECs es similar al que se realiza en el cáncer de pulmón5. Como alternativa quirúrgica se puede realizar una lobectomía, una resección en manguito, una resección local o una resección endoscópica. El tipo de cirugía a realizar va a depender de la localización del tumor y de la experiencia de cada equipo quirúrgico. Cuando el tumor asienta en bronquio fuente, la resección en manguito debería ser la cirugía indicada. La neumonectomía debe ser la última opción terapéutica6.
La invasión ganglionar está descripta en menos del 5% de estos tumores. Sin embargo, a pesar de que se cree que tienen mejor pronóstico que el cáncer de pulmón de células no pequeñas, en los de alto grado el tratamiento debe ser radical7.
Luego de la cirugía, la mayoría de los pacientes presentan buenos resultados. No obstante, un pequeño subgrupo de pacientes puede sufrir recurrencias a distancia durante el seguimiento a largo plazo. En pacientes con tumores de glándulas salivales, niveles elevados de FDG en el PET-TC son habitualmente indicadores de afectación ganglionar pero no de baja supervivencia, mientras que los hallazgos tomográficos de enfermedad avanzada se correlacionan con una supervivencia más pobre8.
Yousem and Hochholzer9 mencionan que pacientes añosos y aquellos con afectación ganglionar presentan un peor pronóstico. En la serie reportada por Vadasz y Egervary10, sólo los tumores de alto grado desarrollaron metástasis ganglionares y en el estudio publicado por Xi et al., el análisis univariado mostró que tanto la edad como el TNM estaban correlacionados con la supervivencia global. Sin embargo, en el estudio multivariado, el único factor independiente fue la afectación ganglionar11.
La diseminación ocurre de manera linfática o hematógena. Los sitios más frecuentes de metástasis son los ganglios linfáticos regionales (48%), hueso (25%), ganglios linfáticos alejados (18%), glándula suprarrenal, cerebro y piel (14%)12.
En los tumores de bajo grado, la radioterapia postoperatoria no es necesaria mientras que, en los de alto grado, debe utilizarse junto con la quimioterapia como tratamiento adyuvante cuando los márgenes de resección estén comprometidos o cuando se trate de tumores irresecables con metástasis a distancia al momento del diagnóstico13. Las drogas con mayor efectividad que se utilizan para la quimioterapia son: cisplatino, docetaxel, gemcitabine, adriamicina y pemetrexed14.
Dado que el EGFR está frecuentemente sobre expresado en los MECs de las glándulas salivales, se han hecho pruebas para evaluar qué sucedía en los de localización bronquial. La evidencia publicada en la bibliografía no es concluyente. Diversos estudios en donde se encontraba mutado el EGFR, el inhibidor de la tirosina quinasa (gefitinib) resultó efectivo15 y se ha sugerido que esta terapia podría mejorar el pronóstico en las recurrencias y en los tumores de alto grado. No obstante, el rol del inhibidor es aun incierto y en múltiples reportes de casos publicados aún no esta del todo aceptado. En una revisión publicada se encontró que de 48 pacientes con MEC sólo nueve presentaban mutaciones del EGFR y que lo pacientes que no presentaban esta mutación respondieron a los inhibidores de la tirosina quinasa16.
Conclusión
Las neoplasias mucoepidermoides primarias de pulmón son una variedad infrecuente de cáncer de pulmón. Los pacientes con tumores de bajo grado, como el presentado en este reporte, habitualmente tienen buen pronóstico luego del tratamiento quirúrgico y la terapia adyuvante no tendría indicación. Sin embargo, en los MECs de alto grado, al igual que en los carcinomas de células pequeñas de pulmón que presentan mal pronóstico, el tratamiento adyuvante dirigido hacia el EGFR podría ser de gran aporte pero aún no hay evidencia suficiente.
Conflictos de interés: SQ es consultora en estudio de seguridad de la pirfenidona financiado por la compañía farmacéutica DOSA.
1. Klacsmann PG, Olson JL, Eggleston JC. Mucoepidermoid carcinoma of the bronchus. Cancer 1979; 43: 1720-1733.
2. Shen C, Che G. Clinicopathological analysis of pulmonary mucoepidermoid carcinoma. World Journal of Surgical Oncology 2014; 12: 33.
3. Dowling EA, Miller RE, Johnson IM, Collier FCD.Mucocpidermoid tumors of the bronchi. Surgery 1962; 52: 600-609.
4. Travis W, Brambilla E, Müller-Hermelink K, Harris C. Tumours of the Lung, Pleura, Thymus and Heart. World Health Organization Classification of Tumours. Lyon 2003; 12-16.
5. Santambrogio L, Cioffi U, De Simone M, Rosso L, Ferrero S, Giunta A. Video-assisted sleeve lobectomy for mucoepidermoid carcinoma of the left lower lobar brochous: a case report. Chest 2002; 121: 635-636.
6. Vadasz P, Egervary M. Mucoepidermoid bronchial tumors: a review of 34 operated cases. Eur J Cardiothorac Surg 2000; 17(5): 566-9.
7. Pandya H, Matthews S. Case report: Mucoepidermoid carcinoma in a patient with congenital agenesis of the left upper lobe. Br J Radiol 2003; 76: 339-42.
8. Elnayal A, Moran CA, Fox PS, Mawlawi O, Swisher SG, Marom EM. Primary salivary gland-type lung cancer: imaging and clinical predictors of outcome. AJR Am J Roentgenol 2013; 201: 57-63.
9. Yousem SA, Hochholzer L. Mucoepidermoid tumors of the lung. Cancer 1987; 60: 1346-1352.
10. Vadasz P, Egervary M. Mucoepidermoid bronchial tumors: a review of 34 operated cases. Eur J Cardiothorac Surg 2000; 17: 566-569.
11. Xi JJ, Jiang W, Lu SH, Zhang CY, Fan H, Wang Q. Primary pulmonary mucoepidermoid carcinoma: an analysis of 21 cases. World J Surg Oncol 2012; 10: 232.
12. Singh A, Pandey KC, Pant NK. Cavitarymucoepidermoid carcinoma of lung with metastases in skeletal muscles as presenting features: A case report and review of the literature. J Cancer Res Ther 2010; 6: 350-2.
13. Kim TS, Lee KS, Han J, et al. Mucoepidermoid carcinoma of the tracheobronchial tree: radiographic and CT findings in 12 patients. Radiology 1999; 212; 643-648.
14. Julian RM, Marie CA, Jean EL et al. Primary salivary gland-type lung cancer. Am Cancer Soc 2007; 15: 2253-2259.
15. Han SW, Kim AP, Jeon YK et al. Mucoepidermoid carcinoma of lung: potential target of EGFR-directed treatment. Lung Cancer 2008; 61: 30-34.
16. Alsidawi S, Morris JC, Wikenheiser-Brokamp KA, Starnes SL, Karim NA.Mucoepidermoid carcinoma of the lung: a case report and literature review. Case Rep Oncol Med 2013; 625243.