Autor : Ignacio Zabert, Gustavo E. Zabert
Universidad Nacional del Comahue (Zabert I, Cátedra de FisiologÃa Humana; Zabert G,Cátedra Medicina y CirugÃa)
Correspondencia : Dr Ignacio Zabert Domicilio postal: Ministro González 545 (CP 8300) Neuquén Tel.: 299-4423254/ 299- 4481180 E-mail: izabert@gmail.com
Caso clínico
J.B, 57 años de edad, con sobrepeso (IMC: 31kg/mt2), conduce un camión para empresas petroleras y drenaje de aguas servidas. Consulta por tos seca y disnea progresiva de un año de evolución, que le provoca el cese de consumo de tabaco (20 paquetes/año) e imposibilidad de realizar actividades recreativas.
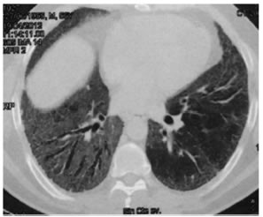
Al examen físico inicial, presentaba saturación de oxígeno (SatO2) de 93% a aire ambiente, dedos en palillos de tambor y rales tipo velcro en ambos campos pulmonares. Los análisis de laboratorio realizados: Látex AR, colagenograma, HIV y TBC fueron negativos. La espirometría mostró valores dentro de la normalidad, FVC 3,56 lts (83%); FEV13,11 lts. (91%); FEV1/FVC 87%. La TCAR de tórax mostró atenuación en vidrio esmerilado bilateral a predominio en lóbulos inferiores, periférica, subpleural y engrosamiento reticular interlobulillar, con presencia de bronquiectasias por tracción en lóbulo inferior derecho; sin descripción de adenopatías, enfisema ni panalización. Tampoco se encontró afección pleural (Figuras 1 y 2). El test de marcha de 6 minutos (TM6M) demostró una limitación severa de su capacidad funcional, debió ser finalizado en el 2° minuto por desaturación a 80% (FiO221%) tras haber recorrido 165 mts. Se decidió realizar una biopsia por videotoracoscopia; el reporte histológico fue fibrosis septal con macrófagos intraalveolares de características homogéneas de aspecto descamativo. Los patólogos concluyeron en el diagnóstico de neumonía intersticial descamativa (NID), sin presencia de patrón de neumonía intersticial usual (NIU) ni neumonía intersticial no específica (NINE). Se inició un curso de meprednisola 1 mg/kg/día y se prescribió oxigenoterapia.


Luego de 3 meses de tratamiento, hubo deterioro de la función pulmonar, FVC 2,85 lts. (61%); FEV12,65 lts.(74%); FEV1/FVC 93%. El patrón restrictivo fue confirmado por pletismografía (TLC 4,05 lts (60%); RV 0,7 lts. (33%); RV/TLC 17%) y una disminución en la capacidad de difusión de CO (DLCOAdj: 12,04 ml/min/mmHg, 39%). El ecocardiograma Doppler demostró una función ventricular izquierda normal, con leve regurgitación tricuspidea y presión sistólica de arteria pulmonar calculada de 35 mmHg. En los meses subsiguientes, TM6M mostró mayor detrimento en la capacidad funcional (distancia recorrida 55mts. y finalización precoz al 1° minuto por desaturación a 72%) a pesar del tratamiento. Actualmente, se encuentra en evaluación para trasplante pulmonar.
Discusión
El pronóstico de la NID es superior que la fibrosis pulmonar idiopática y NINE, sin embargo, el 25% de estos pacientes pueden presentar deterioro clínico más allá de la cesación tabáquica y tratamiento adecuado1-3. Hay estudios que demostraron que el consumo de tabaco se asocia a peor pronóstico de los pacientes, no obstante, no se ha podido establecer que la cesación cambie el rumbo de esta enfermedad. Hasta el momento, los corticoides sistémicos son el tratamiento de elección, a pesar de ello no hemos hallado un nuevo horizonte en las estrategias terapéuticas farmacológicas4.
Por lo tanto, dos interrogantes fueron planteados ante este caso: 1) ¿Cuál es el tiempo que debe transcurrir para considerarse NO-respondedor al tratamiento? 2) ¿Estamos ante la presencia de un caso alternativo a NID?
Agradecimientos: Dra. Silvia Quadrelli y Dra. Clarisa Álvarez por su disposición, accesibilidad y apoyo para el diagnóstico de este caso.
Conflicto de intereses: Los autores declaran no tener conflicto de intereses.
Bibliografía
1. Wells AU, Hirani N. Intertitial Lung Disease Guidelines. Thorax 2008;63: v1-v53.
2. Tazella HD, Wright JL, Churg A. Desquametive interstitial pneumonia. Histopathology 2011; 58, 509-516.
3. Franquet T, Giménez A. Neumonias intersticiales Idiopáticas. Radiologia 2012; 54: 6.
4. Godbert B, Wisser MP, Vignaud JM. Desquamative interstitial pneumonia: an analytic review with emphasis on aetiology. ERJ 2013; 22, 128: 117-123.