Autor : Patricia Malamud, Valeria Morandi, MarÃa Laura Grodnitzky, Gabriela Tabaj
Hospital del Tórax Dr. Antonio A. Cetrángolo
Correspondencia : Valeria Morandi E-mail: morandiva@gmail.com
Resumen del caso clínico: Paciente masculino de 43 años, consultó por toracodinia izquierda, tos con expectoración mucopurulenta y equivalentes febriles de tres días de evolución. Refería un antecedente de traumatismo de tórax en su infancia.
La radiografía de tórax mostró niveles hidroaéreos en hemitórax izquierdo, sugestivos de víscera hueca abdominal. Los niveles se acentuaron frente a la ingesta de líquido gaseoso.
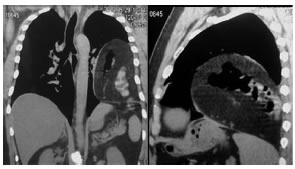
Frente a la sospecha diagnóstica de una hernia diafragmática, se realizó TC de tórax y abdomen.
Descripción de la imagen: Hernia diafragmática izquierda posterolateral con presencia de grasa y tubo digestivo en cavidad torácica.


Discusión: Las hernias diafragmáticas consisten en la migración de estructuras abdominales hacia el tórax a través de un defecto del diafragma. Ellas pueden tener origen congénito (de Morgagni y de Bochdalek) o adquirido, incluyendo las traumáticas y no traumáticas (del hiato, defectos diafragmáticos posteriores). El trauma cerrado y el penetrante constituyen los principales factores etiológicos de las lesiones diafragmáticas. En el 75% de los casos, las lesiones son secundarias a trauma cerrado y en el 25% a trauma penetrante1. Entre el 7% y el 66% de las lesiones diafragmáticas en pacientes politraumatizados no son diagnosticadas2. Las rupturas diafragmáticas son más frecuentes del lado izquierdo (68,5%)3 y esto puede explicarse por: la protección que le da el hígado al hemidiafragma derecho, el subregistro de la lesión y la debilidad del hemidiafragma izquierdo en los puntos de fusión embriológica4. La radiografía de tórax es el método diagnóstico más frecuentemente utilizado en el estudio de los pacientes con trauma de tórax y en el diagnóstico de la ruptura diafragmática aunque sólo se diagnostica el 40% de las lesiones mediante este método1. Los hallazgos característicos de una hernia diafragmática traumática son: presencia de una solución de continuidad diafragmática, herniación de vísceras hacia la cavidad torácica, falta de visualización de un hemidiafragma, zona de estrechez gástrica o intestinal en el sitio de la herniación; el estómago, intestino o tercio superior del hígado están en contacto con los arcos costales posteriores (signo de la víscera dependiente)5. En la mayoría de los casos, puede hacerse el diagnóstico de hernia traumática sólo con las imágenes axiales de TC. Sin embargo, las reconstrucciones multiplanares tanto en los planos sagital como coronal son superiores a las axiales, ya que permiten demostrar pequeñas lesiones.
Conflicto de intereses: los autores declaran no tener conflictos de intereses.
Bibliografía
1. Shahr R, Sabanathans, Mearsns AJ et al. Traumatic rupture of diaphragm. Ann Thorac Surg 1995; 60: 1444-9.
2. Troop B, Myers RM, Agarwal N. Early recognition of diaphragmatic injuries from blunt trauma. Ann Emerg Med 1985; 14: 97-101.
3. Scharff JR, Naunheim KS. Traumatic diaphragmatic injuries. Thorac Surg Clin 2007; 17: 81-5.
4. Ala Kulju K, Verkkala K, Ketonen P, et al. Traumatic rupture of right hemidiaphragm. Scand J Thorac Cardiovasc Surg 1986; 20: 109-14.
5. Santamarina MG, Rinaldi Crespo S, Baltazar A.D. Rol de la TC multicorte en las hernias diafragmáticas. Ensayo iconográfico. RAR 2009; 73: 421-432.