Autor : Boyeras I.1, Di Boscio V1, 3, Downey D.1, Nally C.2, Jünemann A.1, Vujacich P1, Rossi S.4, RamÃrez Pelosi M.1, Aguilera A.1
1Servicio de NemonologÃa - Hospital Español - Ciudad Autónoma de Buenos Aires - Argentina 2 División de AnatomÃa Patológica - Hospital Español - Ciudad Autónoma de Buenos Aires - Argentina 3 Instituto de Rehabilitación PsicofÃsica ( I.R.E.P. ) - Ciudad Autónoma de Buenos Aires - Argentina 4 Centro de Diagnóstico Dr. Enrique Rossi - Ciudad Autónoma de Buenos Aires - Argentina
Correspondencia : Iris Boyeras Navarro Domicilio Postal: Av. Belgrano 2975, CABA (CP 1209) irisboyeras@gmail.com
Presentación del caso
Dra. Ramírez Pelosi: Se presenta una paciente
mujer de 66 años, ama de casa, no fumadora.
Entre sus antecedentes de importancia figuran
hipertensión arterial, tratada con carvedilol 12.5
mg/día; amlodipina 5 mg/día; diltiazem 120 mg /día; y obesidad (Índice Masa Corporal: 46). No
tiene antecedentes ocupacionales ni de exposición
ambiental. Consultó en diciembre de 2010 por
disnea de esfuerzo (grado 2 mMRC) de 1 año de
evolución.
Al momento de la consulta, como único dato positivo al examen físico presentaba rales crepitantes
velcro bibasales. Los resultados del laboratorio
eran normales, incluido el perfil serológico completo para las enfermedades del tejido conectivo
cuyos resultados se listan en la Tabla 1.

En la Tabla 2 se muestran los resultados de los exámenes funcionales respiratorios de diciembre 2010 y otros previos de hacía ocho meses.

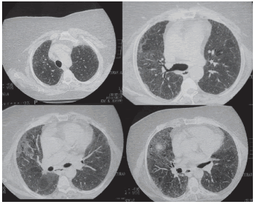
En ese momento presentaba una tomografía axial computada de alta resolución (TACAR) de tórax que se muestra en la Figura 1 y otra de un año atrás (2009) en la Figura 2.


Se trata entonces, de una paciente que consultó hace 2 años con signos y síntomas de enfermedad
intersticial pulmonar de causa desconocida, clínicamente estable y aparente evidencia de progresión
funcional y tomográfica con respecto a estudios
previos que aportaba al momento de la consulta.
Se presenta el caso para analizar el abordaje
diagnóstico y terapéutico adoptado y replantear
conducta en la actualidad en el marco de la nueva
evidencia internacional en el tema.
Discusión
Dr. Downey: Uno de los aspectos desafiantes del
caso es que tratándose de enfermedad idiopática su
presentación tomográfica es atípica para neumonía
intersticial usual (NIU). Dadas las características
de las imágenes, Dr Rossi: ¿cuál es su impresión
diagnóstica?
Dr. Rossi: En la TACAR se observa alteración del
intersticio pulmonar dado por engrosamiento de
los septos subpleurales e interlobares, bilaterales,
con opacidades en vidrio esmerilado subyacentes.
Con mayor compromiso del lóbulo medio y ambos
lóbulos inferiores, se observa presencia de bronquiectasias y bronquioloectasias por tracción, sin
evidencia de panalización franca. Si bien el estudio previo difiere en calidad y técnica, no parecen
existir cambios significativos en el transcurso del
año previo a la consulta.
Se observan además un elastofibroma dorsal bilateral, ganglios calcificados secuelares en espacio
paratraqueal inferior derecho e hiliar homolateral.
Prominencia del tronco de la arteria pulmonar y
hernia hiatal por deslizamiento.
Desde el punto de vista de las imágenes deberíamos considerar neumonía intersticial no específica
(NINE) del subtipo fibrótica, aunque si tenemos
en cuenta la clasificación del último consenso sobre fibrosis pulmonar idiopática (FPI) del 20111;
podríamos encasillarlo dentro de posible NIU.
Dr. Downey: Desde el punto de vista funcional
parece haber un deterioro entre el momento de la
consulta y los estudios previos, Dra. Vujacich: ¿qué consideraciones le merecen los resultados de los
exámenes funcionales respiratorios?
Dra. Vujacich: Desde el punto de vista funcional, en ambos casos presenta una espirometría
normal. Sin embargo, si analizamos los volúmenes
pulmonares, vemos que se trata de un proceso
restrictivo puro en curso, con valores en descenso
de capacidad pulmonar total (CPT) y volumen
residual (VR), sin evidencias de atrapamiento
aéreo o debilidad muscular. El franco descenso de
la difusión de monóxido de carbono (DLCO), que
implica disminución del lecho vascular funcionante, también señala un proceso parenquimatoso. Las
maniobras de DLCO son técnicamente correctas
y se correlacionan perfectamente con el test de la
caminata en ambas ocasiones.
Dra. Jünemann: Llama la atención que el descenso de la CPT observado de un estudio a otro
no va acompañado de una disminución paralela
de la capacidad vital forzada (CVF), teniendo en
cuenta que el cambio en la CVF es un mejor predictor de evolución2, 3. ¿A qué puede deberse esta
discordancia? ¿Puede considerarse realmente que
hubo deterioro funcional?
Dra. Vujacich: Aquí efectivamente hay una discordancia, ya que habitualmente ambos descensos
son paralelos. Sin embargo en esta oportunidad, la
calidad técnica de las maniobras pletismográficas
(4 en total) no fue óptima; por eso creo que debe
tomarse como válido el valor de CVF. Justamente la CVF es el valor más reproducible que tiene
implicancias pronósticas si disminuye en más de
un 10%4, 5. En este caso no había mayores cambios
entre ambos estudios. Recordemos que se acepta
hasta un 5% de variabilidad del método. Incluso
la DLCO y el test de caminata mostraban discreta
mejoría de la paciente en el segundo estudio. Por
eso, yo no creo que desde el punto de vista funcional
evolutivo hubiera mayor deterioro de la función
pulmonar, al menos hasta ese momento.
Dra. Di Boscio: Se trata entonces de una paciente
con neumonía intersticial (NI) aparentemente idiopática, con presentación tomográfica atípica para
NIU, con restricción leve y evidencia de progresión
clínica durante este último año. Si bien hace 2
años aún no se había publicado el último consenso
sobre FPI, ya existía acuerdo en que estos casos
requieren de biopsia pulmonar quirúrgica a fin de
identificar la presencia de algún tipo de NI no NIU,
tal como NINE. Este hallazgo tendría drásticas
diferencias pronósticas y terapéuticas respecto a la
FPI por lo que el procedimiento está ampliamente
justificado. La repercusión clínica y funcional ameritaría conducta terapéutia agresiva si se tratara
de una patología con potencial de reversibilidad o
probabilidades reales a estabilizarse. No es menor
señalar que el sexo femenino y las características
tomográficas sugestivas de una NINE alertan a la
posibilidad de que se tratara de una enfermedad del
tejido conectivo (ETC) oculta. Entre un 15-20% de
las NI “idiopáticas” preceden la ocurrencia de estas
enfermedades y está descripto que cualquier ETC,
excepto Lupus, puede debutar con una neumonía
intersticial crónica6. Esto se traduce en la necesidad
de realizar estricto seguimiento clínico interdisciplinario de manera regular y periódica. Diversos
estudios coinciden en señalar que el pronóstico
de las NI asociadas a ETC es claramente mejor
comparado con la FPI, aparentemente en forma
independiente al subtipo histológico de la misma7.
Dr. Downey: En base a estos datos e interpretación del caso se propuso en ese momento realizar la
biopsia pulmonar quirúrgica de varios lóbulos, ¿qué consideraciones actuales existen respecto del rol de
la fibrobroncoscopia en la patología intersticial?
Dra. Boyeras: En el escenario de una probable
NI con un patrón tomográfico de posible NIU, el
rol del la fibrobroncoscopia está enfocado a la exclusión, a través del recuento celular diferencial en
el lavado broncoalveolar (BAL), de otras patologías
que podrían presentarse de manera similar, por ejemplo el hallazgo de un conteo de linfocitos mayor al 50% del total sería fuertemente sugestivo de
neumonitis por hipersensibilidad o NINE celular8.
Pero en este caso, teniendo en cuenta los diagnósticos diferenciales que manejamos, basándonos
en el cuadro clínico (ausencia de antecedentes de
exposición antigénica), y los hallazgos de la TACAR, la baja sensibilidad y especificad del BAL9 en este escenario no excluiría la necesidad de una
biopsia quirúrgica, por lo cual estoy de acuerdo en
que si se requiere una confirmación histológica, el
procedimiento con mejor perfil riesgo beneficio es
la biopsia pulmonar por videotoracoscopia.
Dra. Ramírez Pelosi: Se realizó la biopsia pulmonar por videotoracoscopia. Por cuestiones
técnicas solo se tomó muestra de un lóbulo. Dra
Nally: ¿podría comentarnos los resultados de la
pieza quirúrgica?
Dra. Cecilia Nally: La biopsia quirúrgica muestra parénquima pulmonar con remodelación
arquitectural de localización preferentemente
subpleural y periférica. Existen áreas de fibrosis
densa que alternan con otras de parénquima pulmonar relativamente conservado. Esto es lo que
se ha denominado como heterogeneidad temporal.
En la unión de ambas zonas se evidencian escasos
focos fibroblasticos (FF); estos se hallan formados
por abundantes células fusiformes (miofibroblastos) y poco colágeno interpuesto, comparado con
el colágeno hialinizado paucicelular, visto en áreas
de fibrosis establecida (Figura 3A). La extensión
de estos FF ha sido asociada con incremento en
la progresión de la enfermedad, de hecho varios
estudios han concluido en que la carencia relativa de FF sea la explicación del mejor pronóstico
observado en pacientes con fibrosis pulmonar
relacionada a ETC10, 11. En los cortes periféricos se
ve la formación de quistes microscópicos (panel de
abeja microscópico). Se trata de espacios dilatados
que muestran grados variables de bronquiolización
y menos comúnmente hiperplasia de células goblet.
Algunos de estos quistes presentan contenido mucoide y se hallan rodeados de infiltrado linfocitario
en forma difusa y en agregados nodulares (Figura
3 B y C). Estos hallazgos son compatibles con NIU.

Dra. Di Boscio: Existe creciente reconocimiento
de NI con signos de actividad autoinmune sistémica en pacientes no clasificables dentro de ninguna
entidad reumática según criterios establecidos por
las sociedades reumatológicas. Surge entonces el
interés por identificar estos nuevos fenotipos y clasificarlos dentro de la patología intersticial. Así se
han descripto dos posibles subtipos de NI: “NI con
características autoinmunes”12 y “Enfermedad del
Tejido Conectivo con Pulmón Dominante”13. Los
criterios diagnósticos de esta última en particular
son: cualquiera de los subtipos histológicos de NI,
insuficientes hallazgos extra torácicos para una
ETC específica y ausencia de causa identificable
de NI + serologías específicas positivas en títulos
determinados o hallazgos histológicos particulares
en la biopsia pulmonar.
La paciente de nuestro caso reúne todos los
criterios clínicos y si bien carece de serologías positivas, sería importante conocer si presenta estas
características histológicas ya que podría definirse
entonces este fenotipo de NI. La importancia de
esto radica en que, a pesar de la ausencia de estudios con peso estadístico suficiente para predecir
un determinado pronóstico, ya se proponen distintos abordajes terapéuticos para estos fenotipos
de NI comparados con FPI14. Dra. Nally: ¿pueden
identificarse estas características histológicas en
la biopsia de nuestra paciente?
Dra. Cecilia Nally: No encontramos ninguno
de los criterios histológicos asociados a ETC ni a
fenotipos de NI con actividad autoinmune a los que
se refiere la Dra. Di Boscio tales como: prominente
infiltración plasmocitaria, centros germinales grandes, extensiva pleuritis o denso colágeno perivascular. De hecho, hay varios reportes acerca de factores
pronósticos (scores cuantitativos y semicuantitativos para medir FF) y otros criterios asociados a
ETC, donde la menor cantidad de FF, las pequeñasáreas en panel de abeja, los centros germinales más
grandes y la mayor inflamación se relacionan en
mayor medida con NIU asociada a ETC que con
pacientes con FPI. En uno de los más importantes
trabajos, el score de centros germinales resultó ser
el mejor factor para discriminar estas 2 patologías15.
En esta paciente el patrón de NIU no se acompaña
de ningún otro hallazgo vinculable a ETC.
Dra. Jünemann: Según la evidencia reportada
en el artículo de Flaherty del 200116, es necesario
realizar biopsias de más de un lóbulo en enfermedades del intersticio pulmonar, dado que puede haber hallazgos histológicos diferentes (NIU, NINE)
entre uno y otro sector hasta en un 26% de las NII.
Esto es lo que se ha dado a conocer como discordancia histológica intrapulmonar. La evolución de la
enfermedad será marcada por la presencia de NIU
en algún lóbulo ya que la sobrevida de los pacientes con concordancia de NINE en todas las biopsias es
significativamente mejor comparada con la de los
que tienen NIU en algún sector. La sobrevida de los
pacientes con concordancia histológica de NIU en
todas sus biopsias es estadísticamente semejante
a los pacientes discordantes NIU-NINE.
En nuestra paciente si bien se pudo analizar
biopsia de un solo lóbulo, esta fue diagnóstica de
NIU y suficiente para predecir un mal pronóstico.
Dra. Ramírez Pelosi: Dr Rossi, ¿qué comentario
tiene respecto a la presentación tomográfica de
este caso de FPI?
Dr. Rossi: Desde el punto de vista imagenológico
es importante destacar la ausencia de panalización.
Existe alteración del intersticio pulmonar con
opacidades en vidrio esmerilado y presencia de
bronquiectasias y bronquiolectasias a predominio
del lóbulo medio e inferiores. En este caso puede
identificarse discordancia tomográfica con el diagnóstico histológico.
Dra. Ramírez Pelosi: Sabemos que la TACAR tiene un rol importante en el diagnóstico de las enfermedades intersticiales del pulmón especialmente
para diferenciar entre NIU y NINE. En aquellos
pacientes en que las imágenes tomográficas tienen
un patrón compatible con NIU, existe alta correlación con el mismo patrón histopatológico17. Sin
embargo, no ocurre lo mismo en los que presentan
hallazgos en la TACAR atípicos para NIU, ya que
no puede predecirse con la misma certeza si su
anatomía patológica presenta patrón de NIU o
NINE. En estos casos de discordancia radiológica-histológica, la TACAR agrega valor pronóstico.
En el estudio de Flaherty KR et al citado previamente se reporta que los pacientes con NIU en su
histología y TACAR discordante presentan mejor
supervivencia que los casos concordantes con NIU
y peor que aquellos con NINE en su histología5. Es
por ello que en los casos que en la TACAR tienen
hallazgos no típicos de UIP; la biopsia quirúrgica
aporta información pronóstica.
En el caso particular de nuestra paciente la
presentación tomográfica discordante brindaría
un mejor pronóstico respecto a las presentaciones
de FPI típicas.
Dra. Ramírez Pelosi: A los 8 meses de la realización de la biopsia pulmonar se registró un deterioro
clínico, funcional con caída de la CVF del 15% y
progresión de infiltrados en la tomografía (Figura
4). Dr Downey: ¿cuál fue la conducta adoptada y
sus motivos?

Dr. Downey: La paciente se mantuvo estable
durante un tiempo, sin embargo ante la presencia
de deterioro significativo, se decidió el inicio del
triple esquema con azatioprina, prednisona a bajas
dosis y N-acetilcisteina (NAC) vigente hasta ese
momento como una recomendación débil en contra
para el tratamiento de la FPI1, 18.
Dra. Ana Aguilera: La paciente no refería síntomas de reflujo gastroesofágico, pero la presencia
de hernia hiatal tiene implicancias en su manejo
terapéutico. En la última década se ha registrado
evidencia suficiente sobre el rol del reflujo y las
micro aspiraciones en la patogénesis de FPI19, 20.
Así en las guías del 2011 se recomienda el tratamiento del mismo aún en casos asintomáticos con
inhibidores de la bomba de protones y pro cinéticos.
Dr. Downey: En mayo de este año se dio a conocer un alerta sobre el incremento de riesgo de
muerte y hospitalización observado en pacientes
con FPI que recibían azatioprina, prednisona a
bajas dosis y NAC comparado con pacientes que
recibían placebo en el estudio PHANTER-IPF21.
Esto motivó que este esquema terapéutico sea
actualmente una recomendación fuerte en contra.
Es pertinente ahora plantear la discusión sobre
cómo continuar. ¿Qué conducta debemos tomar
en pacientes individuales que vienen recibiendo
dicho esquema?
Dra. Di Boscio: Existen sólo dos medidas terapéuticas con recomendación fuerte a favor,
oxigenoterapia en pacientes con hipoxemia22 y trasplante pulmonar en casos seleccionados23. Nuestra
paciente no califica para ninguno de ellos ya que
mantiene saturación basal y en la caminata > 90%
y no es candidata apropiada para transplante. Los
recientes hallazgos de los estudios PHANTER-IPF
y ACE-IPF24 aportan evidencia suficiente para
tener que actualizar con urgencia las recomendaciones para el tratamiento de la FPI. A partir de los
hallazgos del primer estudio hoy existe recomendación fuerte en contra del inicio del triple esquema
aza-predni-NAC y a partir del segundo estudio, del
uso de warfarina. Las opciones posibles actualmente con recomendación débil en contra, es decir con
la necesidad de evaluar y discutir individualmente
con el paciente, son el mantenimiento de NAC
como monoterapia y pirfenidona (no aprobada ni
disponible en nuestro mercado aún). Claramente
la primera opción es la factible.
Resulta oportuno señalar de todos modos, que
expertos referentes internacionales en el tema están revisando el abordaje terapéutico de todas las
NI. En el Congreso de la ATS 2012 fue presentada
la nueva propuesta de clasificación y manejo de las
mismas (Wells A. ATS Meeting, San Francisco).
Esta implica un cambio paradigmático ya que
propone un sistema de clasificación que incluya
aspectos clínicos, radiológicos e histológicos del
comportamiento de la NI, en lugar de basarse
exclusivamente en el hallazgo histológico basal.
Así distintas entidades histológicas podrían compartir un mismo patrón de comportamiento que
es lo que determinaría la conducta terapéutica.
Esta paciente correspondería al grupo de NI con
signos de progresión irreversible e inexorable siendo pertinente una conducta de tratamiento con el
objetivo de disminuir la progresión o bien evitar
todo tratamiento a fin de no tratar lo innecesario.
A la luz de la evidencia actual lo más indicado
sería mantener NAC como monoterapia, suspender
azatioprina y prednisona para prevenir eventos
adversos reportados y en caso de presentarse reagudizaciones de la enfermedad usar corticoides a
altas dosis temporalmente. Se requiere un estrecho
y regular monitoreo de su evolución clínica, funcional y tomográfica a fin de detectar la ocurrencia
de comorbilidades, necesidad de oxigenoterapia y
medidas paliativas ante la progresión de la enfermedad.
Dra. Boyeras: Dado que hasta el momento no
disponemos de mejores alternativas terapéuticas
para esta enfermedad, es importante tener presente la posibilidad de ofrecerles a estos pacientes
la participación en ensayos clínicos de nuevos
enfoques terapéuticos. En este sentido, la obser-
vación en un estudio de fase 2 de que los pacientes
tratados con BIBF 1120 (un inhibidor de tirosina
kinasa) presentaron una menor frecuencia de
exacerbaciones agudas comparado con el grupo
que recibía placebo resulta alentadora25.
Conclusión
Se trata de una paciente con FPI de presentación tomográfica atípica. Esto último sería su único atenuante en el mal pronóstico dado por la histología de UIP. En el marco de la reciente evidencia sobre el manejo y tratamiento para la FPI, pareciera que la monoterapia con NAC es la opción más adecuada para esta paciente. Queda por observar qué evolución tendrán estos casos en los que se realiza la suspensión del triple esquema tan difundido en los años anteriores. Nuestra mejor actuación en el escenario actual, de conocimiento creciente sobre la etiopatología de la enfermedad, pero aún con más incertidumbres que certezas, consistirá en saber ofrecer un diagnóstico y pronóstico lo más certero posible, información actualizada y sobre todo contención al paciente y su familia, a fin de que estos sean capaces de realizar una elección informada sobre su futuro.
1. Raghu G, Collard HR, Egan JJ, et al. An Official ATS/ERS/JRS/ALAT Statement: Idiopathic Pulmonary Fibrosis: Evidence-based Guidelines for Diagnosis and Management. American Journal of Respiratory and Critical Care Medicine; 183: 788-824.
2. Jegal Y, Kim DS, Shim TS, et al. Physiology Is a Stronger Predictor of Survival than Pathology in Fibrotic Interstitial Pneumonia. American Journal of Respiratory and Critical Care Medicine 2005; 171: 639-644.
3. Taniguchi H, Kondoh Y, Ebina M, et al. The clinical significance of 5% change in vital capacity in patients with idiopathic pulmonary fibrosis: extended analysis of the pirfenidone trial. Respiratory Research; 12: 93.
4. Latsi PI, du Bois RM, Nicholson AG, et al. Fibrotic Idiopathic Interstitial Pneumonia: the prognostic value of longitudinal functional trends. American Journal of Respiratory and Critical Care Medicine 2003; 168:531-537
5. Flaherty KR, Mumford JA, Murray S, et al. Prognostic Implications of Physiologic and Radiographic Changes in Idiopathic Interstitial Pneumonia. American Journal of Respiratory and Critical Care Medicine 2003; 168: 543-548.
6. Tzelepis GE, Toya SP, Moutsopoulos HM. Occult connective tissue diseases mimicking idiopathic interstitial pneumonias. European Respiratory Journal 2008; 31: 11-20.
7. Park JH, Kim DS, Park IN, et al. Prognosis of Fibrotic Interstitial Pneumonia. American Journal of Respiratory and Critical Care Medicine 2007; 175: 705-711.
8. Meyer KC, Raghu G, Baughman RP, et al. An Official American Thoracic Society Clinical Practice Guideline: The Clinical Utility of Bronchoalveolar Lavage Cellular Analysis in Interstitial Lung Disease. American Journal of Respiratory and Critical Care Medicine; 185: 1004-1014.
9. Ohshimo S, Bonella F, Cui A, et al. Significance of bronchoalveolar lavage for the diagnosis of idiopathic pulmonary fibrosis. . Am J Respir Crit Care Med; 2009; 179: 1043-1047.
10. Flaherty KR, Colby TV, Travis WD, et al. Fibroblastic Foci in Usual Interstitial Pneumonia. American Journal of Respiratory and Critical Care Medicine 2003; 167: 1410-1415.
11. Harada T, Watanabe K, Nabeshima K, et al. The Prognostic Significance of Fibroblastic Foci in Usual Interstitial Pneumonia and Nonspecific Interstitial Pneumonia. Respirology: no-no.
12. Vij R, Noth I, Strek ME. Autoimmune-Featured Interstitial Lung Disease: A Distinct Entity. CHEST 2011; 140: 1292-1299.
13. Fischer A, West SG, Swigris JJ, et al. Connective Tissue Disease-Associated Interstitial Lung DiseaseA Call for Clarification. CHEST Journal; 138: 251-256.
14. Fischer A, du Bois R. Interstitial lung disease in connective tissue disorders. The Lancet; 380: 689-698.
15. Song JW, Do K-H, Kim M-Y, et al. Pathologic and Radiologic Differences Between Idiopathic and Collagen Vascular Disease-Related Usual Interstitial Pneumonia. CHEST Journal 2009; 136: 23-30.
16. Flaherty K, Travis W, Colby T, et al. Histopathologic variability in usual and nonspecific interstitial pneumonias. Am J Respir Crit Care Med 2001; 164: 1722-1727.
17. Flaherty K, Thwaite E, Kazerooni E, et al. Radiological versus histological diagnosis in UIP and NSIP: survival implications. Thorax 2003; 58: 143-148.
18. Demedts M, Behr J, Buhl R, et al. High-Dose Acetylcysteine in Idiopathic Pulmonary Fibrosis. New England Journal of Medicine 2005; 353: 2229-2242.
19. Lee JS, Ryu JH, Elicker BM, et al. Gastroesophageal Reflux Therapy Is Associated with Longer Survival in Patients with Idiopathic Pulmonary Fibrosis. American Journal of Respiratory and Critical Care Medicine; 184: 1390-1394.
20. Raghu G. Idiopathic pulmonary fibrosis: increased survival with “gastroesophageal reflux therapy”: fact or fallacy? Am J Respir Crit Care Med 2011; 184: 1330-1332.
21 Raghu G, Anstrom KJ, King TE, et al. Prednisone, Azathioprine, and N-Acetylcysteine for Pulmonary Fibrosis - The Idiopathic Pulmonary Fibrosis Clinical Research Network. New England Journal of Medicine; 366: 1968-1977
22 Longterm domiciliary oxygen therapy in chronic hypoxic cor pulmonale complicating chronic bronchitis and emphysema: report of the Medical Research Council Working Party. Lancet 1981; 1: 681-686.
23 Thabut G, Mal H, Castier Y, et al. Survival benefit of lung transplantation for patients with idiopathic pulmonary fibrosis. J Thorac Cardiovasc Surg 2003; 126: 469-475.
24 Noth I, Anstrom KJ, Calvert SB, et al. A Placebo-Controlled Randomized Trial of Warfarin in Idiopathic Pulmonary Fibrosis. American Journal of Respiratory and Critical Care Medicine; 186: 88-95.
25 Richeldi L, Costabel U, Selman M. Efficacy of a tyrosine kinase inhibitor in idiopathic pulmonary fibrosis. N Engl J Med 2011; 365: 1079-1087.