Autor : Ana M. Putruele*; Cora G. Legarreta*; Mariano Mazzei **; Leticia Limongi*; Evangelina S. Membriani*; Daniel Antuni*; Sebastián Rost Vence*; Mariano M. Volpacchio*; Patrícia Vujacich*
Departamento de Medicina, Hospital de Clínicas, “José de San Martín” Universidad de Buenos Aires (*) División Neumonología (**) Primera Cátedra de Medicina Interna** (^) Servicio de Radiología
Correspondencia : Ana María Putruele Dirección Postal: Av. Córdoba 2351 (CP 1230), piso 7, Buenos Aires Correo Electrónico: anaputruele@hotmail.com
Presentación del caso clínico
Dra. Evangelina Membriani: Una mujer de 59
años, de nacionalidad argentina, fue evaluada en
el consultorio de demanda espontánea de neumonología
el 8 de noviembre de 2011 por presentar
disnea progresiva hasta hacerse en reposo.
Aproximadamente veinte días antes de la consulta,
la paciente notó disnea al subir escaleras,
desde ese momento hubo una progresión del síntoma
hasta hacerse de reposo.
Diez días antes, consultó por servicio de emergencia
en otra institución y fue derivada a un
especialista en cardiología. En dicha consulta
le realizaron telerradiografía de tórax de frente
que evidenciaba infiltrados bilaterales difusos
de tipo intersticiales y un electrocardiograma
(ritmo sinusal, frecuencia cardíaca 90 latidos por
minutos, sin cambios isquémicos agudos ni otras
anormalidades) y fue medicada con hidroclorotiazida
12,5 mg/día.
Durante la semana siguiente, la disnea fue
aumentando hasta hacerse de reposo.
La paciente no refería fiebre, tos, expectoración,
sibilancias, dolor torácico ni otro síntoma
acompañante.
Tenía antecedentes de hipertensión arterial
de 15 años de evolución por lo cual estaba medicada
con losartán 25 mg/día, no era fumadora
aunque refería tabaquismo pasivo ya que su
esposo era fumador, y trastorno de la ansiedad
medicada con clonazepan 0.5 mg cada 12 hs. Se
desempeñaba como ama de casa, nunca había
trabajado fuera de su hogar, manifestaba que su
hobby era la cría de aves, comentó que atendía
personalmente a esos animales y limpiaba sus
jaulas cada 48/72 hs, desde hacía aproximadamente
tres años.
No refirió antecedentes de alergias, traumatismos,
alcoholismo ni drogadicción. Tampoco
refería antecedentes propios ni familiares de asma.
Vivía con su esposo en una casa donde contaba con
todos los servicios.
La paciente medía 165 cm y pesaba 82.3 Kg,
índice de masa corporal 30.2. Su presión arterial
era 130/80 mmhg, su frecuencia cardiaca 90 latidos
por minuto, la frecuencia respiratoria 24 ciclos por
minuto, la temperatura axilar 36° C, y la saturación
de oxigeno 85% respirando aire ambiente, sin uso
de músculos accesorios. La piel estaba pálida, y
las mucosas húmedas. En el examen respiratorio
presentaba murmullo vesicular disminuido en
forma generalizada, y se auscultaban estertores
crepitantes bibasales hasta campo medio a predominio
derecho, no se auscultaban sibilancias,
la percusión era normal.
En el cuello no se veían
venas yugulares distendidas. Presentaba además
edema bilateral simétrico infrapatelar godet +/6.
No presentaba hipocratismo digital, y el resto del
examen físico era normal.
Se decidió internar la paciente para realizar
estudios, diagnóstico y tratamiento.
En el laboratorio básico presentaba hematocrito
de 39% y hemoglobina 12g%, recuento de glóbulos
blancos 6400/mm3 (neutrófilos 3840, linfocitos
1450, monocitos 650, eosinofilos 420, basófilos 40);
CK 45 UI/l; VSG 85mm; urea 30 mg/dl; creatinina
0.7 mg/dl; albumina 4 g/dl; LDH 573 UI/L; glucemia
72 mg/dl; hepatograma, coagulograma y examen de
orina normales.
El estado acido base arterial mostraba ph 7.48;
PaCO2 34.7 mmHg; PaO2 51 mmHg; HCO3 25.5
mEq/L; exceso de bases 2.7 mEq/L; saturación
de oxígeno 84.2% (respirando aire ambiente),
dímero D = 659 ng/L y péptido natriurético tipo
B = 16 ng/L.
El electrocardiograma reveló taquicardia
sinusal.
Radiografía de tórax frente: índice cardiotoráxico
0,48, infiltrados bilaterales difusos de
tipo intersticial, no presenta imágenes consolidativas.
Senos costofrénicos libres (Figura 1).
Ecocardiograma transtoráxico: función sistólica
del ventrículo izquierdo y ventrículo derecho
conservadas, excursión sistólica del plano anular
de la válvula tricúspide (tricuspid anular
systolic excursión –TAPSE) 19 mm, hipertrofia
septal leve, ausencia de dilatación de cavidades
derechas, pericardio libre, válvulas cardíacas
sin particularidades. Por doppler: insuficiencia
tricúspide leve que permite estimar una presión
sistólica de la arteria pulmonar de 25 mmHg.
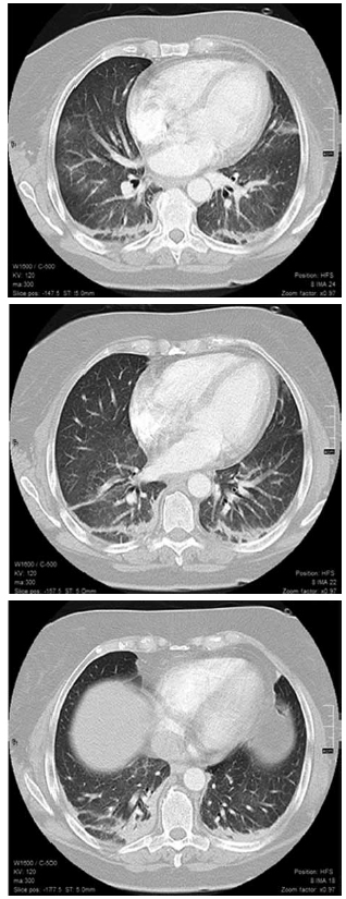
Se realizó una tomografía axial computarizada
(TC) de tórax con protocolo para tromboembolismo
pulmonar (Figura 2).


Dr. Mariano Volpacchio: En las imágenes no
se evidenciaron signos compatibles con tromboembolismo.
No se observa derrame pleural.
Se visualizan imágenes ganglionares en axilas
y mediastino que no alcanzan rango adenomegálico.
El parénquima pulmonar muestra
extensas áreas con densidad vidrio esmerilado.
Se visualizan consolidaciones en segmentos
basales posteriores. A nivel abdomen superior
no se evidencias alteraciones significativas. Las
imágenes inespecíficas podrían corresponder a
neumonitis, o proceso infeccioso, de todas maneras
no puedo descartar otras etiologías como
hemorragia alveolar.
Dra. Evangelina S. Membriani: Se practicó
una ecografía doppler venoso de miembros inferiores,
que resultó negativa para trombosis
venosa profunda. Se realizó un examen funcional
respiratorio (Tabla 1). Dra. Cora G. Legarreta: La espirometría
evidenció FVC, FEV1 y FEF 25-75 reducidos y
la relación FEV1/FVC elevada, lo que sugiere
un defecto ventilatorio de tipo restrictivo que
se confirmó con la medición de los volúmenes
pulmonares. La capacidad de difusión indicaba
un grado severo de pérdida de superficie capilar
alveolar funcional. Por lo tanto, los volúmenes
pulmonares reducidos y el defecto de difusión
son coherentes con un proceso intersticial o
difuso del parénquima pulmonar. Se realizó un
procedimiento diagnóstico.

Discusión
Dra. Ana M. Putruele: Dadas las alteraciones
radiológicas difusas del parénquima pulmonar,
si bien son inespecíficas, se mencionan como
probable diagnóstico la presencia de neumonitis
o proceso infeccioso sin poder descartarse otras
etiologías, por lo tanto se tomaron dos muestras
de hemocultivos y se inició tratamiento antibiótico
empírico con ampicilina-sulbactam + claritromicina
cubriendo los patógenos probables de acuerdo a
las guidelines IDSA/ATS para neumonía adquirida
en la comunidad1.
Se solicitó serología para Chlamydophyla pneumoniae y Chlamydophyla psitacci. Los resultados
finales fueron IgG positivo título 1/32; IgM negativo
para C. pneumoniae; IgG e IgM negativos
para C. psitacci.
La persistencia de los síntomas después
del tratamiento antibiótico sugiere una causa
de neumonía diferente a las habituales para neumonía
adquirida en la comunidad y por lo tanto
exige un diagnóstico diferencial más amplio y una
evaluación más agresiva.
La evaluación del estado inmune está justificada,
lo cual debe incluir una prueba de VIH y
medición de los anticuerpos antinucleares.
Con referencia a este tema, ¿puede ayudarnos
el análisis de las imágenes observadas en la tomografía
computarizada?
Dr. Mariano Volpacchio: La presencia de infiltrado
bilateral en vidrio esmerilado visto en la
tomografía computarizada de tórax representa
ocupación alveolar, lo que apunta a un diagnóstico
diferencial que incluye edema, hemorragia alveolar
difusa, infección, cáncer (por ejemplo, el carcinoma
broncoalveolar), y enfermedad pulmonar intersticial,
lo cual compromete el espacio alveolar y el
intersticio.
Dr. Daniel Antuni: Las enfermedades pulmonares
intersticiales son resultado de exposición
laboral o del medio ambiente (por ejemplo, la
neumonitis por hipersensibilidad), inducida por fármacos, neumonitis asociada a enfermedad del
colágeno, entre otras.
La paciente es una no fumadora que tiene evidencia
de exposición medioambiental a aves, que
pueden causar neumonitis por hipersensibilidad,
patología que podría explicar claramente el cuadro
que presenta nuestra paciente2.
Dra. Leticia Limongi: Tampoco podemos descartar
hemorragia, ni infección crónica atípica,
como la tuberculosis. Sin embargo, podemos
descartar tromboembolismo pulmonar, ya que
presenta un bajo pretest clínico (Wells 1), un Dímero
D de 659 ng/L, apenas elevado y, ecodopler
venoso y angiotomografia normal. Una enfermedad
oncológica es poco probable teniendo en
cuenta la evolución clínica. Dr. Mariano Mazzei: Los datos de laboratorio
y el examen físico no aportan pruebas de enfermedad
extrapulmonar o sistémica. No presenta
evidencia de enfermedad del colágeno y tiene anticuerpos
antinucleares negativo, factor reumatoide
negativo, factor anti núcleo positivo moteado
título 1/40, complemento total 42.0 CH50/ml (25
a 50 CH50/ml), C3 166 mg/dl (80 a 180 mg/dl), C4
37 mg/dl (20 a 50 mg/dl).
La ausencia de una eosinofilia, microhematuria,
reduce la probabilidad de que estemos frente a un
cuadro de vasculitis.
Dra. Ana M. Putruele: ¿Qué nos muestran las
pruebas de función pulmonar que puedan ayudar
a revelar el diagnóstico?
Dra. Cora G. Legarreta: Las pruebas de función
pulmonar apuntan a un proceso restrictivo
con alteración del intercambio gaseoso, un
hallazgo que es consistente con la enfermedad
difusa del parénquima pulmonar observada en
las imágenes.
En el caso de una neumonitis por hipersensibilidad
por exposición a aves, como se mencionó
entre los diagnósticos diferenciales en esta
paciente, sería esperable encontrar una alteración
obstructiva asociada, dado el componente
bronquiolar de esta enfermedad; sin embargo,
los volúmenes pulmonares reducidos con volumen
residual bajo, descartarían un componente
obstructivo en este caso. La difusión de CO disminuida
en grado severo y la baja saturación de
oxígeno reflejan el importante compromiso del
intercambio gaseoso pulmonar.
Dra. Ana M. Putruele: en esta instancia ¿está
indicado realizar algún procedimiento diagnóstico
invasivo?, en ese caso ¿qué estudio debería llevarse
a cabo?
Dra. Patricia Vujacich: La ausencia de espectoración
limita la posibilidad del análisis de
esputo. Por lo tanto, nos planteamos realizar
una fibrobroncoscopía con lavado broncoalveolar
(BAL) y biopsia pulmonar transbronquial como
el procedimiento electivo para aproximar el diagnóstico.
Podríamos haber considerado una biopsia
quirúrgica, pero en este caso creo que es preferible
en primera instancia obtener muestras adecuadas
de manera menos invasiva. El BAL tiene un rédito
diagnóstico elevado en procesos infecciosos;
de manera que excluir una infección a través del
BAL resulta razonable. La citología del BAL es,
además, orientadora en muchos casos. Por otra
parte, la biopsia pulmonar transbronquial tiene
alto rendimiento en neumonitis por hipersensibilidad
(mayor al 50%), linfangitis, histiocitosis, y
algo menos en vasculitis.
El procedimiento diagnóstico fue, efectivamente,
la realización de una fibrobroncoscopía
que no evidencio lesiones endoscópicas, se realizó
lavado broncoalveolar y lavado bronquial. Se envió
muestra a anatomía patológica, cultivo gérmenes
comunes, BAAR y hongos. No se realizó BTB
según lo previsto inicialmente, por desaturación
crítica intraprocedimiento.
El análisis histológico y la citometría de flujo
son necesarios, ya que un gradiente CD4/CD8
disminuido apoya el diagnóstico de neumonitis
por hipersensibilidad. También el dosaje de precipitinas
(anticuerpos IgG) es de utilidad cuando
se sospecha dicha etiología. Estos anticuerpos son
específicos para cada antígeno, indican respuesta
humoral, presentando alta sensibilidad en pulmón
del granjero o del criador de palomas.
Dr. Sebastián Rost Vence: La citología del BAL
revelo recuento celular 50 células por mm3: macrófagos
alveolares 52%, neutrófilos 15%, eosinófilos
2%, linfocitos 26%, células cilíndricas 5%. Se evidenciaron
quistes de pneumocistis en las muestras
de BAL y lavado bronquial.
Dra. Ana M. Putruele: Varios días después,
se recibe el resultado de ELISA para HIV, cuyo
resultado fue positivo, el cual posteriormente fue
confirmado con el análisis de Western blot.
Se solicitó citometria de flujo: Recuento de leucocitos
5200 cel/ul, recuento de linfocitos 16%, 832 cel/
ul, linfocitos T CD3+/CD4+: 5%, 42 cel/ul, linfocitos
T CD3+/CD8+: 53%, 441 cel/ul rCD4/CD8: 0.09 Se inició tratamiento con trimetoprima +
sulfametoxozol 15 mg/kg/día + prednisona 40
mg cada 12 hs por 5 días, luego se bajo a 20 mg
cada 12 hs.
La paciente posteriormente tuvo una recuperación
sin complicaciones. Fue dada de alta
del hospital 12 días después del ingreso, el plan
de completar el tratamiento de 21 días de trimetoprima
+ sulfametoxozol y la prednisona.
Se inició la terapia antirretrovírica, cuyo seguimiento
está a cargo del servicio de infectologia.
Se solicitó estudio por ELISA para virus de la
inmunodeficiencia humana (HIV) al esposo,
quien presentó resultado positivo.
Conclusión
Dra. Ana M. Putruele: El antes conocido Pneumocystis carinii, actualmente considerado un
hongo, Pneumocystis jirovecii es causante de
neumonía, y los principales síntomas incluyen
disnea progresiva, tos no productiva y fiebre.
Estos pacientes presentan hipoxemia, y típicamente
la radiografía de tórax presenta compromiso
bilateral, intersticial difuso.
P. jirovecii es más común en personas infectadas
por VIH pero también puede presentarse
en individuos con otras formas de inmunosupresión,
incluyendo a los pacientes con neoplasias
hematológicas, tumores sólidos, o enfermedades
inflamatorias, y los pacientes transplantados de
médula ósea o trasplante de órganos sólidos. Un
factor de riesgo importante de infección entre
tales pacientes con inmunosupresión es especialmente
el uso de los esteroides3.
El dato que resultó desconcertante en este
caso fue que se trataba de una mujer de casi 60
años de edad. Los adultos mayores infectados
con VIH experimentan un número y variedad
similar de enfermedades marcadoras como los
adultos más jóvenes, siendo P. jirovecii el más
común. Algunos estudios señalan una mayor incidencia
de encefalopatía por VIH y el síndrome
de impregnación por VIH.
Aunque la prevalencia global de enfermedades
marcadoras del síndrome de inmunodeficiencia
adquirida parece similar, las personas mayores
con VIH a menudo experimentan peor pronóstico
en comparación con los pacientes más jóvenes,
en particular para PCP y tuberculosis4.
Este aumento de la morbilidad suele estar
relacionado con progresión más rápida de la
enfermedad y un mayor riesgo de diseminación
sistémica.
Las mujeres de edad media y las mujeres
mayores que presentan VIH comprenden dos
grupos: aquellas que contrajeron VIH durante
mediana edad o más y aquellas que se infectaron
a edades más jóvenes, pero, como resultado de los
avances en el tratamiento, presentan sobrevida
hasta edades avanzadas. Ambos grupos están
en aumento5.
Un estudio trató de identificar los factores
de riesgo para contraer VIH en mujeres de
media y edad avanzada, con el fin de mejorar
la prevención del VIH en este grupo. En este
estudio, 24 mujeres VIH positivo, de entre 45
y 71 años, fueron evaluadas. Se identificaron
cinco factores individuales que ponen a estas
mujeres en riesgo de VIH: abuso de drogas
y alcohol, no conocer las historias sexuales
de riesgo de VIH de sus parejas masculinas;
problemas de salud mental, relaciones de alto
riesgos y la falta de información de prevención
del VIH6.
Los adultos mayores, en comparación con
personas más jóvenes, han recibido menos información
sobre el VIH debido a que normalmente
han sido omitidos de programas de prevención
de esta enfermedad.
Si bien los estudios de laboratorio e imágenes
pueden ser muy sugestivos, el diagnóstico
requiere la identificación del P. jirovecii en
cualquiera de las muestras (esputo, líquido de
lavado broncoalveolar, o muestras de biopsia).
Debido a que P. jirovecii es un hongo atípico, es
difícil el cultivo, y el diagnóstico se suele hacer
con tinción de plata o inmunofluorescencia de
muestras respiratorias.
Un reciente meta-análisis presentó una sensibilidad
del 55% y una especificidad del 98%
para el análisis de esputo. Siendo la tinción inmunofluorescencia
mas sensible que la tinción
citoquímica7.
El esputo inducido es altamente dependiente
de la técnica y de la capacidad del paciente para
expectorar. Si la inducción de esputo no logra obtener
un diagnóstico o no puede llevarse a cabo,
el paciente debe someterse a una broncoscopia
y el lavado broncoalveolar.
Dado el alto rendimiento de este procedimiento,
es raro que los pacientes requieran biopsia
transbronquial o quirúrgica.
Cuando existe una alta sospecha de neumonía
por P. jirovecii, se debe iniciar la terapia
empírica a la espera de los resultados de pruebas
diagnósticas.
Por lo tanto, en pacientes que se presenten
con disnea, hipoxemia e infiltrados intersticiales
bilaterales, aunque no presenten inicialmente
factores de riesgos aparentes para
infección por VIH u otras formas de inmunosupresión,
se debe considerar como causa
posible al P. jirovecii y deben tomarse medidas
agresivas para descartar dicha etiología.
Debido a que las tasas de mortalidad dependen
del período en que se completó el tratamiento
de alguna otra forma de inmunosupresión y si
se requirió ventilación mecánica, es importante
detectar a estos pacientes precozmente.
1. Mandell LA, Wunderink RG, Anzueto A, et al. Guidelines on the Management of Community-Acquired Pneumonia in Adults. Clinical Infectious Diseases 2007; 44: 27-72.
2. Fenclová Z, Pelclová D, Urban P, et al. Occupational Hypersensitivity Pneumonitis Reported to the Czech National Registry of Occupational Diseases in the Period 1992–2005. Industrial Health 2009; 47: 443-8.
3. Luks AM, Neff MJ. Pneumocystis jiroveci Pneumonia. Respiratory care 2007: 1.
4. Luther VP. HIV Infection in Older Adults. Clin Geriatr Med 2007; 23: 567–83.
5. Neundorfer MN, Harris PB, Britton PJ, Lynch DA. HIVRisk Factors for Midlife and Older Women. The Gerontologist 2005; 45: 617-25.
6. Mack KA, Ory MG. AIDS and older Americans at the end of the 20th century. Journal of Acquired Immune Deficiency Syndrome 2003; 2: 68-75.
7. Cruciani M, Marcati P, Malena M, Bosco O, Serpelloni G, Mengoli C. Meta-analysis of diagnostic procedures for Pneumocystis carinii pneumonia in HIV-1-infected patients. Eur Respir J 2002; 20: 982-9.