Autor : Palmero Domingo1, Levi Alberto2, Casco Nicolás2, González Norma3, González Claudio4, Pizarro MarÃa5, Poropat Alejandra6, Trullas MarÃa4, Jajati Mónica4
1 Instituto Prof. Dr. Raúl Vaccarezza, UBA, Ciudad de Buenos Aires 2 Hospital Dr. F. J. Muñiz, Ciudad de Buenos Aires 3 Hospital Dr. Pedro Elizalde, Ciudad de Buenos Aires 4 Hospital Dr. J. M. Ramos MejÃa, Ciudad de Buenos Aires 5 Sanatorio Dr. Julio Méndez, Ciudad de Buenos Aires 6 Hospital Parmenio Piñero, Ciudad de Buenos Aires
Correspondencia :
Resumen
La comorbilidad COVID-19/tuberculosis (TB) es poco mencionada en la bibliografía y en general se considera que existe poca interacción entre ambas enfermedades. Presentamos 23 casos (4 pediátricos) diagnosticados en 5 hospitales de la Ciudad de Buenos Aires entre marzo y junio de 2020. El promedio de edad de los adultos fue de 36,9 años; 78% eran de sexo masculino; 57% fueron extranjeros y 74% pertenecían a poblaciones de barrios vulnerables. En la Institución que más casos reportó, la incidencia de TB entre los pacientes COVID-19 fue tan alta como 1635/100 000. La radiología de las formas pulmonares de TB mostró el predominio de imágenes cavitarias; en cuanto a la infección por SARS-CoV-2 se hallaron opacidades en vidrio esmerilado a predominio periférico y consolidaciones. Ambos tipos de imágenes fueron concomitantes en el 78% de los pacientes. El 65% de los casos no tenía diagnóstico de TB y éste fue efectuado a partir de imágenes radiológicas compatibles, confirmadas luego por la bacteriología. Las comorbilidades más frecuentes fueron las adicciones (tabaquismo y drogas ilícitas) y el VIH. La tuberculosis fue tratada con el esquema estándar, aunque se emplearon drogas de segunda línea en los casos de reacciones adversas graves (4 pacientes) y en los multirresistentes. El período de internación fue más prolongado de lo habitual para pacientes no UTI. La mortalidad superó a la del COVID-19 del país 1.8% vs. 8.7%. Se discuten las implicancias de la pandemia por SARS-CoV-2 sobre la reemergencia de la tuberculosis en la denominada era “postpandemia”.
Palabras clave: SARS-CoV-2; COVID-19; Tuberculosis; Comorbilidades; Pandemia.
Abstract
The COVID-19/tuberculosis comorbidity is scarcely mentioned in the literature and it is generally considered that there is little interaction between both diseases. We report 23 cases (4 pediatric) diagnosed in 5 hospitals in the City of Buenos Aires between March and June 2020. The mean age of the adults was 36.9 years: 78% were male, 57% were foreigners and 74% belonged to vulnerable populations. In the institution that reported most cases, the incidence of TB among COVID-19 patients was as high as 1635/100 000. In the radiological presentation of the pulmonary forms, cavitary images of TB predominated; regarding SARS-CoV-2 infection, ground glass opacities with a peripheral predominance and consolidation were found. Both types of images were concomitant in 78% of patients; 65% of the cases did not have a diagnosis of TB and this was made from compatible radiological images, later confirmed by bacteriology. The most frequent comorbidities were addictions (smoking and illicit drugs) and HIV. Tuberculosis was treated with the standard regimen, although second-line drugs were used in cases of serious adverse reactions (4 patients) and in multidrug-resistant TB. The hospitalization period was longer than usual for non-ICU patients. Mortality was higher than that of the country’s COVID-19: 1.8% vs. 8.7%. The implications of the SARS-CoV-2 pandemic on the re-emergence of tuberculosis in the so-called “post-pandemic” era are discussed.
Key words: SARS-CoV-2; COVID-19; Tuberculosis; Comorbidities; Pandemic.
Desde el comienzo de la pandemia por el virus SARS-CoV-2 (Sindrome Respiratorio Grave Agudo- Corona Virus 2), se han notificado en el mundo más de 22 millones de infectados y de 800 000 muertes, y en Argentina más de 290 000 infectados y de 5600 muertes1. La evidencia publicada muestra como sus principales comorbilidades: hipertensión, obesidad, diabetes, coronariopatía, asma, EPOC/tabaquismo2,3, en tanto que existen escasas publicaciones con casuísticas de COVID-19 (enfermedad por coronavirus 2019) y tuberculosis (TB)4-6. La TB es una de las 10 primeras causas de muerte en el mundo, con una carga estimada de 10 millones de casos nuevos y 1,45 millones de muertes7. Dentro del marco de la Sección Tuberculosis de la Asociación Argentina de Medicina Respiratoria, efectuamos un relevamiento de los casos de TB (activa o secuelar) asociada a COVID-19 diagnosticados en 5 instituciones de salud de la ciudad de Buenos Aires, con el objetivo de describir la interacción entre ambas patologías y la influencia de una enfermedad crónica como la TB en el pronóstico de una patología aguda como es el COVID-19.
Se efectuó un estudio retrospectivo, no intervencional, de los casos de TB (activa o secuelas radiológicamente visibles) asociada a COVID-19 registrados entre el 1° de marzo y el 30 de junio de 2020 en los Hospitales Muñiz/Instituto Vaccareza (Pabellón Koch), Ramos Mejía, Elizalde, Julio Méndez y Piñero. El estudio fue aprobado por el Comité de Ética del Instituto Vaccarezza.
Se recolectó en una planilla Excel información sobre todos los casos de TB y COVID-19 diagnosticados en las 5 instituciones: edad, sexo, nacionalidad, vulnerabilidad, tabaquismo, alcoholismo, adicción a drogas ilícitas, VIH, CD4, tratamiento antirretroviral, comorbilidades (diabetes, nefropatía, hepatopatía, otras). Respecto de la TB: secuelar o activa, antecedentes de tratamiento previo, radiología/ tomografía computada (compatible con TB como presencia de cavitades uni o bilaterales, opacidades nodulares/nodulillares, derrame pleural; imágenes relacionadas con la COVID-19 como el vidrio esmerilado, imágenes intersticiales y opacidades neumónicas), baciloscopía y cultivo, prueba de sensibilidad (si estuvieron disponibles), tratamiento, reacciones adversas. Respecto de la COVID-19: diagnóstico por RT-PCR, saturación de O2 al ingreso, requirimiento de UTI, días de internación. Respecto de la evolución: alta médica de internación, fallecido.
La determinación de promedios (edad y días de internación) se hizo con el mismo Excel y se utilizó el rango como medida de dispersión.
En el período estudiado, fueron diagnosticados 23 casos de TB-COVID-19: 13 en el Hospital Muñiz/ Instituto Vaccarezza (Pabellón Koch); 5 en el Hospital Ramos Mejía; 2 en el Sanatorio J. Méndez; 2 en el Hospital Elizalde y 1 en el Hospital Piñero.
Cuatro casos fueron pediátricos, con edades entre 5 y 16 años. El promedio de edades de los pacientes mayores de 16 años fue 36,9 años (rango: 19-82). Dieciocho fueron de sexo masculino (78%) y 5 femenino. En cuanto a su nacionalidad, 10 fueron argentinos (43%), 7 bolivianos, 5 peruanos y 1 refugiado pakistaní. Diecisiete pacientes pertenecían a poblaciones vulnerables (74%).
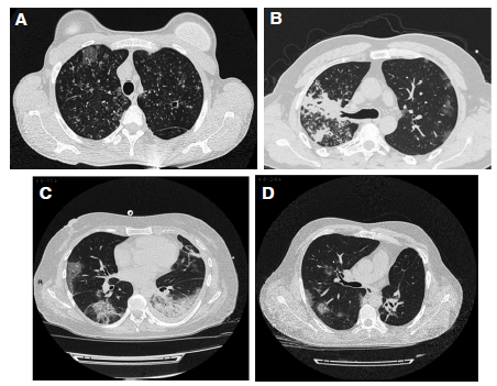
Respecto del diagnóstico de TB, en 15 casos (65%) se sospechó TB a partir de las imágenes obtenidas para evaluar el compromiso pulmonar por el COVID (Figura 1). Seis pacientes informaron antecedentes de tratamiento previo, incompleto en 4 de ellos (todos con TB activa) y 2 con lesiones secuelares (consideradas TB inactiva), uno con un aspergiloma intracavitario. La localización de la TB fue pulmonar en 18, pleural en 2 y meningitis, 1.

En la TC de tórax, en 18 pacientes (78%) se observaron concomitantemente a imágenes cavitarias (11 pacientes), nodulillares y micronodulillares, árbol en brote y derrame pleural (compatibles con TB); opacidades a predominio periférico en vidrio esmerilado, en algunos casos con tendencia a la consolidación y en ocasiones broncograma aéreo (compatibles con COVID-19 y eventual sobreinfección bacteriana) (Figura 1). La mayor extensión lesional de este último tipo de imágenes correspondió a una TB pleural que requirió internación breve en UTI sin necesidad de asistencia ventilatoria mecánica. La TB fue confirmada por baciloscopía en 17 casos; fue efectuado GeneXpert confirmatorio en 11; 2 fueron resistentes a rifampicina, considerados a los fines terapéuticos como multirresistentes (niños de 5 y 16 años, contactos de adultos con TB-MDR).
Una aproximación parcial a la incidencia de TB en los pacientes con la COVID-19 se observa en el Pabellón Koch donde, en el período analizado, se internaron 795 pacientes (> 80% pertenecientes a poblaciones vulnerables) y se detectó TB en el 1.6% de los casos (tasa por 100 000: 1635).
Siete pacientes presentaron SaO2 < 95% al ingreso. Tres requirieron internación en UTI, falleciendo 2 (8.7%) que presentaron grave estado por múltiples comorbilidades. El promedio de días de internación fue de 20.8 (rango 7- 48). Fueron externados 21 pacientes (evolución favorable) al final del período de infecciosidad del SARS-CoV-2 o, en los casos de reacciones adversas, cuando se logró obtener un esquema razonablemente eficaz.
En cuanto a las comorbilidades, predominaron el tabaquismo y otras adicciones en 16 pacientes, 4 pacientes tenían diagnóstico previo de VIH/sida, 3 de ellos con abandono del tratamiento antirretroviral (TARV); 1 enfermedad psiquiátrica, 1 antecedente cercano de tromboembolismo pulmonar y 1 hipertensión arterial. No se observó obesidad, asma, EPOC ni diabetes.
Diecinueve pacientes recibieron tratamiento antifímico con esquema estándar (isoniacida, rifampicina, pirazinamida, etambutol); 4 de ellos fueron medicados con drogas de segunda línea por presentar reacciones adversas (3 hepatitis tóxicas y un síndrome DRESS), así como los dos casos pediátricos con TB-RR por el GeneXpert.
Existen comorbilidades claramente asociadas a la COVID-19, como obesidad, diabetes, asma, tabaquismo/EPOC o hipertensión arterial2,3, en tanto que la TB no parece estar especialmente relacionada y tampoco existe abundante literatura publicada al respecto. Hemos hallado en la bibliografía desde casuísticas5, 6, hasta un brote de COVID-19 en un pabellón de internación de TB en Italia4. Por otra parte, Tadolini y col.8, analizando 49 casos, hipotetiza que las secuelas pulmonares de la TB pueden incrementar la gravedad de la neumonía por SARS-CoV-2; mientras que Motta y col.9 en el análisis preliminar de 69 pacientes provenientes de dos cohortes hallan poca asociación entre la TB y un peor pronóstico de la COVID-19, atribuyéndolo a la menor edad de los afectados, usualmente migrantes.
Dentro del número pequeño de pacientes COVID-19/TB que analizamos en esta serie, se destacan algunos hechos interesantes, como la elevada frecuencia de TB diagnosticada en los infectados por el SARS-CoV-2 (mayoritariamente pertenecientes a barrios vulnerables) que, llevada a una magnitud poblacional arroja una tasa de 1635 /100 000; cifra 38.9 veces mayor que la tasa de la ciudad de Buenos Aires (41.2/100 000)10. Los casos predominaron en inmigrantes varones y, en general, se observaron imágenes radiológicas mixtas compatibles con TB y con la COVID-19. No se observaron en esta serie comorbilidades habituales del COVID-19 como obesidad, diabetes, o asma, pero fueron frecuentes el tabaquismo y otras adicciones (70% de los casos). El período de internación se prolongó respecto del usualmente recomendado para los pacientes COVID-19 internados en piso (aproximadamente 2 semanas)11, debido a reacciones adversas al tratamiento anti-TB y, en los casos de VIH/sida, a la iniciación del TARV. Los 2 pacientes fallecidos presentaban un estado clínico previo comprometido y, más que la TB, la infección por SARS-CoV-2 se consideró como el desencadenante de su fallecimiento. De todos modos, la mortalidad de 8.7% resultó 3-4 veces superior a la de la COVID-19 en Argentina1.
Como conclusión y ante el hallazgo de una importante incidencia de TB no diagnosticada en la población estudiada, podemos compartir el temor internacional12,13 de una reemergencia post-pandémica de la TB asociada al incremento de la pobreza y las dificultades para acceder a un sistema de salud jaqueado por la COVID-19, sumado a la reducción de la movilidad poblacional relacionada con las medidas de aislamiento y cuarentena.
Conflicto de intereses: Los autores declaran no tener conflictos de interés.
1. Worldometer. https://www.worldometers.info/coronavirus/ Consultado el 15/8/2020
2. Guan W, Ni Z, Hu Y, Liang W, et al. Clinical Characteristics of Coronavirus Disease 2019 in China. N Engl J Med. 2020; 382: 1708-20. DOI: 10.1056/NEJMoa2002032
3. Goyal P, Choi JJ, Pinheiro LC, et al. Clinical Characteristics of Covid-19 in New York City. N Engl J Med. 2020; 382: 2372-4. DOI: 10.1056/NEJMc2010419
4. Stochino C, Villa S, Zucchi P, Parravicini P, Gori A, Raviglione MA. Clinical characteristics of COVID-19 and active tuberculosis co-infection in an Italian reference hospital. Eur Respir J. 2020; in press (https://doi.org/10.1183/13993003.01708-2020). (Consultado el 26/7/2020)
5. Guiqing H, Jing W, Jichan S, et al. COVID-19 in Tuberculosis patients: a report of three cases. J Med Virol (online). 2020. doi: 10.1002/jmv.25943.
6. Meng Tham S, Yang Lim W, Lee CK, Loh J, Premkumar A, Yan B, et al. Four Patients with COVID-19 and Tuberculosis, Singapore, April-May 2020. Emerg Infect Dis. 2020; 26(11). doi: 10.3201/eid2611.202752. (Publicación online previa a la impresa)
7. World Health Organization (WHO). Global Tuberculosis Report 2019. WHO/CDS/TB/2019.23.
8. Tadolini M, Codecasa LR, García García JM, et al. Active tuberculosis, sequelae and COVID-19 co-infection: first cohort of 49 cases. Eur Respir J. 2020. doi: 10.1183/13993003.01398-2020 (Publicación online previa a la impresa)
9. Tuberculosis, COVID-19 and migrants: Preliminary analysis of deaths occurring in 69 patients from two cohorts. Motta I, Centis R, D’Ambrosio L, García-García JM, Golettie D, Gualanof G, et al. Pulmonol. 2020 (online). https://doi.org/10.1016/j.pulmoe.2020.05.002 (consultado el 26/7/2020)
10. Bossio JC, Fernández H, Arias S, y col. Boletín sobre la tuberculosis en Argentina N° 3, Marzo 2020. Publicación impresa de la Dirección de Sida, ETS, Hepatitis y TBC, Ministerio de Salud, Argentina.
11. Ministerio de Salud, Gobierno de la Ciudad de Buenos Aires. Protocolo de manejo de casos sospechosos y confirmados de COVID-19 (versión 37. 23/07/2020). Disponible en: https://www.buenosaires.gob.ar/coronavirus/equipos-salud/protocolos-coronavirus-covid-19 (consultado el 26/7/2020)
12. Saunders MJ, Evans CA. COVID-19, tuberculosis, and poverty: preventing a perfect storm. Eur Respir J. 2020. doi: 10.1183/13993003.01348 (Publicación online previa a la impresa)
13. Chopra KK, Arora VK, Singh S. COVID 19 and tuberculosis. Indian J Tuberc. 2020; 67(2):149-51. doi: 10.1016/j.ijtb.2020.06.001. 254