Autor : Rizzo Guillermina, Clauzure Marisol, Suarez Verónica S., GarcÃa AgustÃn R., Tomaszuk Giselle, SolÃs Marco Antonio, Quadrelli Silvia
Servicio de NeumonologÃa, Sanatorio Güemes, Ciudad Autónoma de Buenos Aires, Argentina
Correspondencia :Dra. Guillermina Rizzo. E-mail: guillerminarizzo@hotmail.com
Resumen
El síndrome antisintetasa es una miopatía inflamatoria autoinmune que puede presentar afectación pulmonar intersticial. La presencia de anticuerpos antisintetasa se relaciona con una mayor incidencia de enfermedad pulmonar intersticial. El patrón imagenológico y anatomopatológico de la EPID es variable, fundamentalmente inflamatorio.
En el caso presentado se describe una paciente con miopatía inflamatoria y compromiso pulmonar presentando un patrón tomográfico de neumonía organizativa. Se destaca la importancia de elevar el índice de sospecha de síndrome antisintetasa ante un paciente con compromiso pulmonar y miopatía, siendo fundamental para arribar a un diagnóstico la evaluación multidisciplinaria. Se realiza una revisión de la evidencia al respecto en la discusión del caso.
Palabras claves: Síndrome antisintetasa; Anticuerpos antisintetasa; Neumonía organizativa.
Abstract
The antisynthetase syndrome is an autoimmune inflammatory miopathy that may show interstitial pulmonary involvement. The presence of antisynthetase antibodies is related to a higher incidence of interstitial pulmonary involvement. The imaging and anatomopathological pattern of diffuse interstitial pulmonary disease (DIPD) is variable, mainly inflammatory.
This case describes a female patient with inflammatory miopathy and pulmonary involvement who shows a tomographic pattern of organizing pneumonia. It is important to increase suspicion for antisynthetase syndrome in a patient with pulmonary involvement and miopathy, where multidisciplinary evaluation is fundamental to reach a diagnosis. A review of the evidence is made in the discussion of the case.
Key words: Antisynthetase syndrome; Antisynthetase antibodies; Organizing pneumonia.
Introducción
El síndrome antisintetasa (SAS), descripto por primera vez por Marguerie et al. en 19901, es una entidad clínica de origen autoinmune que se engloba dentro de las miopatías inflamatorias que se caracteriza por presentar anticuerpos antisintetasa (ACAS). Dentro de estos, el anticuerpo anti-Jo1 es el más frecuentemente encontrado (60%-80%); aunque pueden no ser detectables2. La presencia de ACAS está relacionada con una mayor incidencia de enfermedad pulmonar intersticial3.
Caso clínico
Se presenta el caso de una mujer de 42 años de edad, sin antecedentes de relevancia. No tabaquista, sin exposición ocupacional a tóxicos pulmonares. Consultó por disnea progresiva mMRC 2, asociado a tos productiva, astenia y adinamia de dos meses de evolución. Previamente concurrió en dos oportunidades a guardia, interpretando cuadro como neumonía adquirida de la comunidad recibiendo tratamiento antibiótico empírico con Amoxicilina - Ácido clavulánico y Claritromicina. Al momento de la evaluación refería mialgias, debilidad de cintura escapular y pelviana que empeoraba con el transcurso del día, asociada a artralgias y edema de articulaciones metacarpo falángicas e interfalángicas. Al examen físico presentaba SO2 95% respirando al aire ambiente, rales crepitantes en ambas bases pulmonares y hasta campo medio. Debilidad muscular proximal 4/5 en miembros superiores y miembros inferiores, flexión cervical 3/5.
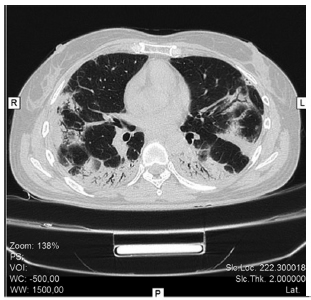
Los resultados iniciales de laboratorio mostraron ligera leucocitosis a predominio neutrofílico (11100/ mm3 Neutrófilos 68%) aumento de reactantes de fase aguda, (ESD 15 mm/h y PCR de 6.4 mg/l) y de enzimas musculares (GOT 166 U/L, CK 4155 U/L, Aldolasa 38.5 U/L). El examen funcional respiratorio mostró un patrón restrictivo con una CVF 1.34 L (41%), FEV1 1.26L (47%), disminución de volumen alveolar 2.19 L (47%) y una DLCO 32%. La tomografía de tórax evidenció compromiso difuso del parénquima pulmonar con mayor afectación de lóbulos inferiores, caracterizado por imágenes en vidrio esmerilado, de distribución subpleural y parcheada, con áreas de mayor compromiso alveolar con broncograma aéreo; se observan también aisladas bronquiectasias. (Figura 1)

Con sospecha de patología inflamatoria de etiología infecciosa y/o inmunológica, se realizó fibrobroncoscopia, con lavado broncoalveolar y biopsia transbronquial, resultando tanto el directo como cultivo para gérmenes comunes, koch y micológico negativos. El estudio anatomopatológico reportó consolidación alveolar y presencia de proliferación de tejido de granulación.
Ante los hallazgos clínicos, de laboratorio e imagenológico y dado la alta sospecha clínica de un proceso autoinmune subyacente, se realizó un electromiograma siendo el mismo consistente con una miopatía inflamatoria proximal. El perfil inmunológico diferencial, mostró la presencia de anticuerpos anti-Jo-, mientras que el FAN, anti DNA, RO, y anti RNP resultaron negativos. Concluyendo el diagnóstico de síndrome antisintetasa con compromiso pulmonar manifestado por neumonía organizativa criptogénica.
Inició tratamiento inmunosupresor con pulsos metilprednisolona y ciclofosfamida. La paciente evolución en forma favorable, con disminución de los infiltrados pulmonares y parámetros inflamatorios. (Figura 2)

Discusión
El SAS se caracteriza por la presencia de autoanticuerpos que reaccionan contra la enzima aminoacil tRNA sintetasa, implicada en la síntesis de proteínas. Se han descripto 8 subtipos de esto anticuerpos, siendo el anti-JO1 el más frecuentemente reportado2-4. El anticuerpo anti- Jo1 fue identificado por primera vez en 1976, en el suero de un paciente (Jonh P) con polimiositis y enfermedad pulmonar intersticial5. Las manifestaciones del síndrome antisintetasa incluyen enfermedad pulmonar intersticial difusa (EPID), artritis, fiebre, lesiones hiperqueratósicas en las manos (“manos de mecánico”) y fenómeno de Raynaud2-6. El compromiso pulmonar es el principal determinante de la respuesta al tratamiento y el pronóstico7. El patrón imagenológico y anatomopatológico de la EPID es variable, fundamentalmente inflamatorio, pero pudiendo adoptar formas fibrosantes, con patrón de neumonía intersticial usual (NIU). Dentro de las variables de compromiso inflamatorio, destacan daño alveolar difuso (DAD), la neumonía intersticial no específica (NINE) o la neumonía organizativa (OP)3-5-7. como fue el caso de nuestra paciente. En la mayoría de los casos, la incidencia de miositis precede o coincide con el desarrollo de la enfermedad pulmonar6, 7.
Este caso también destaca la importancia de generar un índice de sospecha de síndrome de antisintetasa en pacientes con afección pulmonar y miopatía. Es importante considerar diagnósticos diferenciales de origen inmunológico para los casos sospechosos de neumonía infecciosa que no responden a los regímenes de antibióticos estándar. Para estos casos, los esteroides son la primera línea de tratamiento, escalando posteriormente en las diferentes estrategias de terapia inmunosupresora siguiendo algoritmos de manejo multidisciplinario7, 8.
1. Marguerie C, Bunn C, Beynon H, et al. Polymyositis, Pulmonary Fibrosis and Autoantibodies to Aminoacyl-tRNA Synthetase Enzymes. QJM. 1990; 77(1): 1019-38.
2. Jensen M, Løkke A, Hilberg O, Hyldgaard C, Bendstrup E, Tran D. Clinical characteristics and outcome in patients with antisynthetase syndrome associated interstitial lung disease: a retrospective cohort study. Eur Clin Resp J. 2019; 6(1): 1583516.
3. Labirua-Iturburu A, Trallero Araguás E, Selva O’Callaghan A. Síndrome por anticuerpos antisintetasa. Med Clin 2011; 137(2): 77-83.
4. Gallay L, Gayed C, Hervier B. Antisynthetase syndrome pathogenesis. Current Opinion in Rheumatology. 2018; 30(6): 664-73.
5. Zampieri S, Ghirardello A, Iaccarino L, Tarricone E, Gambari P, Doria A. Anti-Jo-1 Antibodies. Autoimmunity. 2005; 38(1): 73-8.
6. Santiago Villalobos R, López-Campos Bodineau J, Rodríguez Becerra E, Laserna Martínez E, Luque Crespo E, Borja Urbano G. Síndrome antisintetasa y afección pulmonar intersticial. Descripción de 6 casos. Arch Bronconeumol. 2002; 38(10): 495-8.
7. Macías Fernández I, Pérez Venegas J, García Pérez S. Síndrome antisintetasa. Seminarios de la Fundación Española de Reumatología. 2007; 8(1): 28-33.
8. Barba T, Mainbourg S, Nasser M, Lega JC, Cottin V. Lung Diseases in Inflammatory Myopathies. Semin Respir Crit Care Med 2019; 40: 255–70.