Autor : Rey Darío Raúl1, Parpaglione Carlos A.2
1 Servicio de Neumonología, Hospital Gral.de Agudos Dr. E. Tornú;
2 Laboratorio Pulmonar, Hospital Gral.de Agudos Dr. E. Tornú. Ciudad Autónoma de buenos Aires, Argentina.
Correspondencia : DarÃa Raúl Rey; e-mail: darioraul.rey@gmail.com
Introducción
Los tumores de timo son formaciones poco frecuentes que constituyen el 50% de las masas ocupantes del mediastino anterior, con una incidencia de 0.5/millón personas/año. Componen un grupo heterogéneo de lesiones, con una amplia gradación de aspectos morfológicos siendo el timoma y el carcinoma de timo los más frecuentes. Sin embargo, hay otros subtipos más raros como los timolipomas, timomas quísticos, linfomas, tumores de células germinales y los carcinoides típicos y atípicos. Estos últimos representan el 2% de los tumores de timo1, 2.
Los tumores neuroendocrinos en el timo, fueron descriptos por primera vez por Rosai e Higa3. El número total de casos reportados internacionalmente hasta la fecha es de aproximadamente 400 y el carcinoide atípico de esta glándula constituye un grupo muy poco frecuente entre éstos, con una incidencia anual cercana al 0.18/1.000.000 de personas. El número total de casos de carcinoides atípicos de timo publicados internacionalmente hasta la fecha es algo mayor de 1004, 5.
Con la finalidad de contribuir a la bibliografía, se presenta una observación de carcinoide atípico de timo.
Caso clínico
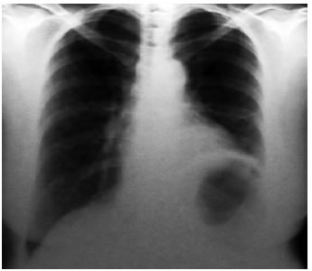
Se describe el caso de una mujer, de 50 años de edad. La paciente es derivada de Bahía Blanca, Provincia de Buenos Aires, por hallarse, en razón de un chequeo, una radiografía (Rx) de tórax con una imagen tumoral en región parahiliar izquierda de bordes bien delimitados (Figura 1).

Exámenes complementarios: No se efectuó titulación de metabolitos como ácido hidroxiindolacético en orina o serotonina sérica, en razón de la ausencia de elementos clínicos sospechosos de presunción diagnóstica (hipertensión, “flushing”, etc.)
Antecedentes personales: tabaquista 15 paquetes/año.
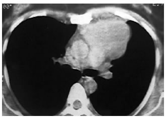
Estudios por imágenes: La tomografía computada (TC) de tórax confirma la presencia de una masa en mediastino medio (90 × 60 mm), de bordes regulares bien definidos, y densidad líquida (Figura 2). No se observan adenopatías, ni derrame pleural ni pericárdico.
La resonancia nuclear magnética (RNM) y la punción con aguja fina (PAAF) bajo TC, no mostraron resultados significativos.

Conducta terapéutica
Las evaluaciones funcionales neumonológica y cardiológica revelaron parámetros dentro de los límites de la normalidad, por lo que se decidió la intervención quirúrgica de la tumoración.
Protocolo quirúrgico: Se realizó una toracotomía latero anterior izquierda en el quinto espacio intercostal, apreciándose el polo inferior del tumor sólido sobre el área cardiaca, infiltrando pericardio, con prolongación en región clavicular. Abierto el pericardio, se comprobó que las estructuras cardiacas y vasculares estaban libres. Se realizó la extirpación completa del tumor, con resección parcial del pericardio. El defecto quirúrgico se cerró mediante la colocación de un parche que cubrió toda la brecha. avenamiento y cierre por planos quirúrgicos.
Informe anatomopatológico
Macroscopía: Nódulo de 110 × 70 × 40 mm, no encapsulado. Al corte se observó tejido blanquecino mate alternando con zonas quísticas.
Microscopía: Proliferación de elementos celulares redondeados con núcleos levemente aumentados, nucléolos evidentes. Necrosis tipo isquémico en sectores. En la región periférica se observaban tejido conectivo y adiposo e infiltración por tejido tímico, así como en el pericardio extirpado.
Inmunomarcación: Cromogranina (++); citoqueratina (+) en forma focal. Fosfatasa alcalina placentaria; vimentina, citoqueratina 7 y citoqueratina 20 (-)
Diagnóstico
Tumor carcinoide atípico de timo
Evolución
La paciente presentó muy buena evolución, con post operatorio sin complicaciones. Se dio el alta sanatorial a los 6 días. A los 3 y 6 meses, concurrió al control encontrándose asintomática. La nueva Rx de tórax no mostró lesiones activas, observándose elevación secuelar del hemidiafragma izquierdo (Figura 3).

Esta paciente fue asistida inicialmente en un Sanatorio de Obra Social y derivada, para su tratamiento oncológico, a un prestador externo. Estas razones organizativas, sumadas al hecho de que la mujer residía en una ciudad del interior, no nos permitieron realizar un seguimiento de la paciente y ni mantener contacto con el colega Oncólogo a cargo de su tratamiento. Por este motivo desconocemos su evolución posterior.
Breve revisión
Clasificación y manifestaciones clínicas de los tumores neuroendocrinos del timo
Los tumores neuroendocrinos tímicos son tumores malignos originarios de las células neuroendocrinas, que se distribuyen difusamente en tejidos y órganos. Se los puede dividir en cuatro tipos:
1. Carcinoide típico
2. Carcinoide atípico
3. Carcinoma neuroendocrino de células grandes
4. Carcinoma neuroendocrino de células pequeñas (“oat cell”)
Los criterios diferenciales entre carcinoide típico y atípico se detallan en la Tabla 16. La enfermedad es más común en hombres que en mujeres, con una edad promedia en el momento del diagnóstico de 42 a 56.5 años.

El tumor carcinoide atípico se caracteriza por un alto grado de agresividad e invasión de tejidos vecinos, sin características clínicas específicas. Sin embargo, aproximadamente un tercio de los pacientes no presentan síntomas tempranos evidentes y se identifican durante el examen físico de rutina debido al descubrimiento de una masa en mediastino, por lo que la enfermedad suele estar una etapa avanzada en el momento del diagnóstico. Este retraso en el diagnóstico aumenta la incidencia y la posibilidad de propagación a órganos vecinos. En un estudio de Modlin y col., sobre una cohorte de 13.715 carcinoides un 13% presentó metástasis en el momento del diagnóstico, lo que complicaba el pronóstico general del caso en estudio7.
Los dos tercios restantes de los pacientes presentan en general síntomas inespecíficos como tos, dolor torácico, dificultades respiratorias y otros síntomas relacionados con las lesiones ocupantes del espacio mediastinal anterior, lo que hace poco probable que los pacientes reciban atención médica en una etapa temprana.
El sistema de estadificación del International Thymic Malignancy Interest Group (ITMIG) es el más utilizado hasta la fecha y se basa en la clasificación de Masoka-Koga8 (Tabla 2). En el caso que se presenta, la resección exitosa pero con invasión microscópica de la zona capsular, lo catalogaría como III a acorde a dicha tipificación.

Tratamiento
La única elección terapéutica recomendable, es la cirugía. La resección quirúrgica constituye la terapia apropiada cuando la función pulmonar del paciente y sus condiciones clínicas, lo permiten.
Los procedimientos médicos basados en quimioterapia y/o radioterapia no han sido bien considerados al carecer de consenso en las diferentes Guías de Tratamiento. Para Phan y col. no hay evidencia sustentable que permita una efectiva implementación de quimioterapia coadyuvante en estos tumores neuroendocrinos9. Por su parte Caplin y col. sugieren utilizar cisplatino/etopósido asociado a tratamiento radiante, en los Estadios II y III de los carcinoides atípicos, tal como se efectúa en el oat cell10. En tanto, otras Guías sugieren usar análogos de somatostatina (octreotide, lanreotide), así como everolimus en aquellos carcinoides típicos o atípicos irresecables con índice mitótico elevado y y tasas de crecimiento creciente11, 12. Hendifar y col. en una revisión reciente sobre el tema, comentan diferentes ensayos clínicos coadyuvantes con el uso de everolimus describiendo resultados promisorios de hasta un 52% de descenso en la progresión de la enfermedad así como en la tasa de decesos, resultados que serían significativos desde un punto de vista estadístico13.
Discusión
Los pacientes con carcinoide atípico de timo suelen presentar signos y síntomas no definidos y aproximadamente el 50% de las observaciones, carecen de manifestaciones clínicas evidentes14 y aproximadamente un tercio de los pacientes se encuentran asintomáticos, por lo que las particularidades clínicas detalladas de estos tumores no están bien caracterizadas. Esta escasez clínica disminuye la posibilidad de su detección y asistencia médica temprana lo que, asociado a su ubicación en mediastino, y a su escasa frecuencia, hacen poco probable su descubrimiento preciso en una etapa temprana, lo que es fundamental para asegurar un tratamiento efectivo y expeditivo, en razón del peor pronóstico de estos tumores en comparación con los tumores benignos de dicha glándula. Sin embargo, los tumores carcinoides atípicos de timo presentan un curso agresivo desde el punto de vista clínico al ser neoplasias con cierto porcentaje de recidiva local y, entre el 20 y 30% de los pacientes suelen presentar metástasis a distancia.
Si bien este caso fue un hallazgo clínico asintomático, en ocasiones,- y relacionado con la biología del tumor-, los carcinoides atípicos de timo pueden secretar hormonas ectópicas símil adrenocorticotrofina (ACTH) (Síndrome de Cushing), serotonina (Síndrome carcinoide) o en casos más excepcionales, originar cuadros clínicos complejos como el MEN Tipo 1 (hiperparatiroidismo, tumor insular de páncreas, adenoma de hipófisis) o MEN Tipo 2 (secreción inadecuada de hormona anti diurética, polimiositis, dedos “hipocráticos”, miocarditis) relacionados con el accionar de estas sustancias en el organismo15-17.
Por su localización en el mediastino anterior y superior, el diagnóstico diferencial incluye, además de los timomas, lo tumores tiroideos, los teratomas y los linfomas.
Algunos autores han querido identificar ciertos parámetros radiológicos que podrían sugerir un diagnóstico precoz y pre operatorio, tales como presentar una masa grande con forma irregular o lobulada en mediastino próxima a los vasos sanguíneos o pericardio circundante. ; una densidad uniforme o no uniforme en exploración simple, o un área necrótica licuada intratumoral. Lamentablemente, el exiguo número de casos resta conclusión estadística a esta descripción18.
En cuanto a los carcinoides en el aparato respiratorio en general, el pronóstico es bueno incluso si en los típicos hay afectación ganglionar, con una tasa de supervivencia a los 5 y 10 años del 90%. Solamente se relacionan a un pronóstico reservado, si hay una resección incompleta. Los atípicos tienen una mayor propensión a producir metástasis y recurrencia local, con una supervivencia a los 5 y 10 años del 70 y 50% respectivamente y, al contrario que los carcinoides típicos, las metástasis ganglionares oscurecen el pronóstico19, 20.
Los pacientes con carcinoide atípico de timo tienen, en líneas generales una evolución dispar, a pesar de haberse efectuado mediante cirugía una substancial extirpación del mismo. Aunque los tumores carcinoides atípicos del timo se hallan dentro del segmento de los bien diferenciados, su supervivencia global a 5 años es del 56% al 77% y la tasa de supervivencia general a 10 años es del 30%, ya que poseen variados márgenes de metástasis y recidiva por los caracteres de su biología tumoral21, 22.
Conclusión
El tumor carcinoide atípico de timo ocurre con mayor incidencia en varones que en mujeres, el diagnóstico preoperatorio es dificultoso, tiene un grado de malignidad relacionado con el índice de proliferación celular, un 20-30% presentan metástasis, y la supervivencia postoperatoria es de tipo intermedio.
1. Schmidt-Wolf IG, Rockstroh JK, Schuller H et al. Malignant thymoma: current status of classification and multimodality treatment. Ann Hematol. 2003; 82(2): 69-76.
2. Detterbeck FC, Parsons AM. Thymic tumors. Ann Thorac Surg 2004; 77(5): 1860-69.
3. Rosai J, Higa E. Mediastinal endocrine neoplasm, of probable thymic origin, related to carcinoid tumour. Cancer. 1972; 29:1061-1074.
4. Tiffet O, Nicholson A, Ladas G et al. A clinicopathologic study of 12 neuroendocrine tumors arising in the thymus. Chest. 2003; 124(1): 141-46.
5. Han B, Sun J, Ahn J et al. Clinical outcomes of atypical carcinoid tumors of the lung and thymus: 7-year experience of a rare malignancy at single institute. Med Oncol. 2013; 30(1): 1-7.
6. Travis W, Brambilla E, Burke A et al. WHO Classification of Tumoursof the Lung, Pleura, Thymus and Heart 4th Ed Lyon, France : International Agency for Research on Cancer 2015
7. Modlin I, Lye K, Kidd M. A 5-decade analysis of 13,715 carcinoid tumors Cancer. 2003, 97(4): 934-959.
8. International Thymic Malignancy Interest Group. En línea en: https://www.itmig.org/
9. Phan T, Öberg K, Choi J et al. NANETS consensus guidelines and management of neuroendocrine tumors: well differentiated neuroendocrine tumors of the thorax (includes lung and thymus) Pancreas. 2010; 39(6): 784-798.
10. Caplin M, Baudin E, Ferolla P et al. Pulmonary neuroendocrine (carcinoid) tumors : European Neuroendocrine Society Expert Consensus and recommendations for best practice for typical and atypical pulmonary carcinoids. Ann Oncol. 2015; 26(8): 1604-1620.
11. Sidéris L, Dubé P, Rinke A. Antitumor effects of somatostatin analogs in neuroendocrine tumors. The Oncologist. 2012; 17: 747-755.
12. Pavel M, O’Toole D, Costa F et al. ENETS consensus guidelines update for the management of distant metastatic disease of intestinal, pancreatic, bronchial neuroendocrine neoplasms (NEN) and NEN of unknown primary site. Neuroendocrinology. 2016; 103(1): 172-185.
13. Hendifar A, Marchevsky A, Tuli R. Neuroendocrine tumors of the lung: Current challenges and advances in the diagnosis and management of well-differentiated disease J Thor Oncol. 2016; 12(3): 425-436.
14. Marquez-Medina D, Popat S. Systemic therapy for pulmonary carcinoids. Lung Cancer 2015; 90(2): 139-147.
15. Yano M, Ichiro Fukai I, Kobayashi Y et al. ACTH-secreting Thymus carcinoid associated with MEN Type 1 Ann Thorac Surg. 2006; 81(1): 366–368.
16. Gal A, Kornstein M, Cohen C et al. Neuroendocrine tumors of the thymus: a clinicopathological and prog¬nostic study. Ann Thorac Surg. 2001; 72(4): 1179-1182.
17. Rosado de Christenson M, Abbott G; Kirejczyk W et al. Thoracic Carcinoids:Clinical-Radiological-Pathological correlations. Radiographics. 1999; 19(3): 707-736.
18. Li H, Wang D, Liu X et al. Computed tomography characterization of neuroendocrine tumors of the thymus can aid identification and treatment Acta Radiologica. 2013; 54(3): 175-80.
19. Detterbeck F. Management of carcinoid tumors Ann Thor Surg. 2010, 89 (83) : 998-1025.
20. Rea F, Rizzardi G, Zuin A et al. Outcome and surgical strategy in bronchial carcinoid tumors: single institution experience with 252 patients Eur J Cardiothor Surg. 2007, 31(2): 186-191.
21. Han B, Sun J, Ahn J et al. Clinical outcomes of atypical carcinoid tumors of the lung and thymus: year experience of a rare malignancy at single institute. Med Oncol. 2013; 30(1): 1-7.
22. Ströbel P, Zettl A, Shilo K, et al. Tumor genetics and survival of thymic neuroendocrine neoplasms: a multi-institutional clinicopathologic study. Genes Chromosomes Cancer. 2014; 53(9): 738-749.