Autor : Hugo Karlen1, Vanina Martín1, Valentina Di Boscio3, Luis Cattogio2, Marco Antonio Solís1-4, Sebastián Lamot1
1Fundación Sanatorio Güemes
2 Hospital Italiano de Buenos Aires
3 Instituto de Rehabilitación Psicofísica de la Ciudad Autónoma de Buenos Aires
4 Hospital de Rehabilitación Respiratoria María Ferrer
Correspondencia : Hugo Karlen e-mail: hugokarlen@hotmail.com
Hugo Karlen: Presentamos un paciente masculino
de 72 años, casado, nacido en la Provincia de Buenos Aires, no tabaquista, jubilado, ex trabajador
de la industria textil. En agosto del 2013, consultó por astenia, adinamia e hiporexia, asociado a
pérdida de peso (6 kilos en los 3 meses previos).
Concomitantemente, refería equivalentes febriles,
poliartralgias de pequeñas y grandes articulaciones asimétricas que cedían con antiinflamatorios
no esteroideos y parestesias en miembros inferiores. Presentaba antecedentes personales de
hipertensión arterial, glaucoma, rinitis alérgica
y cáncer de próstata por lo que recibió tratamiento con quimioterapia y radioterapia. Dentro
de los antecedentes respiratorios, tiene historia
de asma de 30 años de evolución en tratamiento
con budesonide-formoterol, al momento de la
consulta controlada. El cuadro fue interpretado
como bisinosis. En 2010, por presentar episodios
a repetición de disnea progresiva y tos, se arribó al
diagnóstico de fibrosis pulmonar idiopática (FPI).
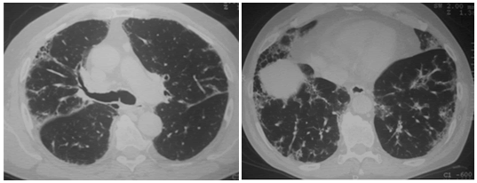
Sebastián Lamot: La tomografía computada
(TC) de tórax de 2010 mostraba, principalmente,
engrosamiento reticular sub-pleural, de predominio en bases y en lóbulo inferior derecho. Se observaban áreas con vidrio esmerilado bilateral,
parcheadas. Se puede describir patrón de panalización, caracterizado por quistes dispuestos –en
empalizada–, compatible con neumonía intersticial
usual (UIP) definitiva1, 2.


Hugo Karlen: El estudio funcional respiratorio (EFR) del año 2010 era normal (Tabla 1). En el análisis de laboratorio presentaba eosinofilia de 8%, IgE de 694, FAN 1/80 de patrón nucleolar, velocidad de eritrosedimentación (ERS) de 29 mm, factor reumatoideo (FR), anti-DNA, ANCA negativos.

Durante los próximos dos años presentó múltiples internaciones por progresión de disnea, tos
y síndrome febril, con buena respuesta al tratamiento con antibióticos y corticoides sistémicos.
En la última internación, se externó con oxígeno
complementario domiciliario.
Si comparamos los EFR desde noviembre de
2010 hasta abril del 2013, previo a la internación,
observamos una caída de la capacidad vital forzada
(CVF) de casi 4 litros (Tabla 1). En la prueba de
caminata de seis minutos presentó disminución de
los metros caminados y del valor final de la oximetría de pulso (Tabla 2).

Retomando con la enfermedad actual, el paciente se encontraba afebril, oximetría de pulso
de 96% (con cánula nasal a 2 lts). Se auscultaban
rales secos –tipo velcro– bilaterales y no presentaba
signos de insuficiencia cardíaca. En el laboratorio
presentaba anemia e insuficiencia renal aguda
(hematocrito 30%, Hb 10 g/dl, urea 265 mg/dl,
creatinina 9,5 mg/dl, K+ 5.5 mEq/dl), reactantes
de fase aguda elevados (ERS 120 mm, PCR 18 mg/dl) y sedimento de orina con hematuria, cilindros
granulosos y proteinuria (0,59 mg/dl en 24 hs). Sin
hallazgos patológicos significativos en ecografías
renal y vésico-prostática. Inició hemodiálisis y se
programó biopsia renal. La TC de senos paranasales presentó engrosamiento de mucosa del seno
maxilar derecho.
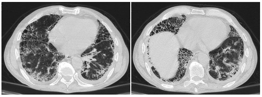
Sebastián Lamot: En la TC de tórax actual,
comparada con la anterior, se observó marcada
progresión. Se evidenció engrosamiento reticular
subpleural, panalización, bronquiectasias y bronquiolectasias por tracción de predominio en lóbulos
inferiores y la língula, consistente con patrón de
UIP definitiva1-3.
Hugo Karlen: Se tomaron biopsias de los pólipos
nasales, cuyo resultado fue mucosa con fibrosis
e inflamación crónica inespecífica. La muestra
renal informó glomerulonefritis pauciinmune
con semilunas. En el nuevo laboratorio presentó FAN negativo, complemento normal, anticuerpos
anti-MPO > 80 (VN: hasta 5), y anti-PR3 de 3,9,
anti-MB negativo. Con diagnóstico de vasculitis
asociada a ANCA, se inició tratamiento con metilprednisolona, ciclofosfamida y plasmaféresis. El
EFR posterior presentaba FVC de 2,56 lts. (70%),
VEF1 de 2,09 (79%) y DLCO 47%. Se presenta el
paciente a discusión.
Vanina Martín: En resumen, estamos frente a
un paciente varón de 72 años, no tabaquista, jubilado, trabajador textil, con antecedente de asma
controlada de 30 años de evolución, anemia y una
FPI diagnosticada hace 4 años, con un patrón de
UIP definitivo. Tres años después se diagnostica
FPI asociada a ANCA.
Evaluando los antecedentes personales, dudamos del diagnóstico de bisinosis. Si bien está descripto que al alejarse de la exposición los síntomas
mejoran, en ocasiones progresan y persisten con
manifestaciones similares a una bronquitis crónica, clínica asma like4. Las imágenes muestran
patrón de UIP, que no vemos habitualmente en
la bisinosis, por lo cual no sería concluyente este
diagnóstico. Como parte del estudio de la FPI, se
descartaron factores asociados, como enfermedades del colágeno, uso de drogas y exposiciones
ambientales o responsables de hipersensibilidad, y
no se registraron antecedentes familiares2. Cuando
conocimos al paciente, padecía una enfermedad
intersticial de 3 años de evolución, insuficiencia
renal y un valor ANCA positivo. Encontramos una
enfermedad intersticial difusa (EPID) y vasculitis
ANCA-MPO, dentro de las cuales se encuentran la
poliangeítis microscópica (PAM), la granulomatosis
con poliangeítis (granulomatosis de Wegener-GW)
y la granulomatosis eosinofílica con poliangeítis,
conocida como Síndrome de Churg-Strauss (SCS),
según la clasificación de Chapel Hill5. Todas afectan
predominantemente los vasos de pequeño y mediano calibre. La PAM es una vasculitis necrotizante
con ninguno o pocos depósitos inmunes, es común
la glomerulonefritis necrotizante y la capilaritis
pulmonar, estando ausente la inflamación granulomatosa. Con respecto a la GW es una inflamación
granulomatosa necrotizante, compromete tracto
respiratorio superior e inferior. También es usual
la glomerulonefritis necrotizante y la capilaritis
pulmonar con hemorragia alveolar, siendo común
la inflamación extravascular granulomatosa y no
granulomatosa. El SCS, como la anterior, es una
inflamación granulomatosa necrotizante, pero
rica en eosinófilos. A menudo con compromiso del
tracto respiratorio, cursa con asma y eosinofilia.
Son comunes los pólipos nasales. El ANCA es más
frecuente cuando la glomerulonefritis está presente y la presencia de eosinofilia en sangre periférica
y tejidos es una característica esencial5-7.
Me pregunto si estamos ante dos enfermedades
distintas en un mismo paciente o son diferentes
manifestaciones de una sola. Ambas entidades son
poco comunes, las vasculitis tienen una incidencia
de 10 a 25/1.000.000 habitantes en América del
Norte y Europa6, 7, y la FPI 7.4 a 10.7/100.00 habitantes1, 3, por lo cual la asociación entre las dos
es aún menos frecuente.
Sebastián Lamot: ¿Es similar la FPI a la enfermedad pulmonar difusa asociada a ANCA? ¿Puede
un paciente con FPI tener ANCA positivo, cuando
inicialmente era negativo?
Vanina Martín: Al momento del diagnóstico,
la clínica, la radiología y el EFR son similares, la
prevalencia de ANCA en pacientes con FPI no fue
estudiada ampliamente, pero se estima en alrededor del 9%8. Valores de ANCA elevados, así como el
desarrollo de PAM en pacientes con FPI se asocian
con mal pronóstico. Foulon y col. demuestran que
40% de los pacientes con ANCA positivo y EPID
evolucionan a PAM9. Puede ocurrir también en
pacientes con diagnóstico de FPI. Se midió ANCAMPO consecutivamente a los pacientes con FPI
y la prevalencia en la presentación inicial fue de
4,9% y durante el periodo de seguimiento aumentó a 14.8%. La eosinofilia en el BAL y áreas de baja
atenuación en la TC de tórax pueden predecir la
conversión10.
Hugo Karlen: ¿La FPI puede ser la forma de
presentación de una vasculitis ANCA positiva y
precederla, aún en 3 años?
Vanina Martín: Está descripto que la FPI
puede presentarse entre 1 y 10 años antes a la
aparición de vasculitis, según la serie analizada.
Es una manifestación reconocida de la PAM, por
ejemplo8,10. Por lo tanto, resulta importante evaluar sistemáticamente la presencia de ANCA en
pacientes con FPI.
Marco Antonio Solís: Otro interrogante sería si
los pacientes con FPI asociada a ANCA responden
a las características de nuestro paciente, en cuanto
al sexo, la edad, al estatus de tabaquismo, al patrón
tomográfico, a la especificidad de ANCA.
Vanina Martín: Publicaciones sobre compromiso
pulmonar en vasculitis asociada a ANCA demuestran que el mayor porcentaje de pacientes que
tienen anticuerpos positivos, principalmente MPO,
son de mediana edad, tabaquistas y con patrón tomográfico de UIP definitiva. En gran parte de los pacientes citados, la FPI precede al desarrollo de
la vasculitis8,10,12. O sea que los estudios muestran
características clínicas comunes a nuestro paciente, como el sexo masculino y la edad avanzada. El
estudio de Foulon y col. informó que el estatus
de fumador tiende a ser mayor en los pacientes
ANCA positivos con FPI, que en los pacientes
control ANCA negativo9. Otros autores, Cesa y
col. describieron mayor prevalencia de tabaquismo
en pacientes con glomerulonefritis rápidamente
progresiva (GNRP) debida a vasculitis asociada
a ANCA. El humo de cigarrillo probablemente
se asocia con la expresión de MPO en las células
epiteliales e induce infiltración neutrofílica en el
tejido pulmonar a través de la producción de citoquinas pro-inflamatorias. Abundantes MPO en el
tejido pulmonar podrían contribuir a la generación
de ANCA-MPO12. Esto no está a favor de nuestro
caso, porque el paciente nunca fumó.
Con respecto a la especificidad del ANCA, se
ha descripto asociación de FPI con PAM o GNRP
en pacientes con ANCA-MPO positivo. La distribución de ANCA PR3 y MPO en la GW es 70-80%
y 10%, en PM 40% y 60% y en SCS 5% y 40%,
respectivamente10. Un diagnóstico preciso puede
ser difícil, a su vez puede cambiar a medida que la
enfermedad se desarrolla. En la distinción entre el
GW y la PAM, la afectación del tracto respiratorio y
la presencia de granulomas ayuda a diferenciarlas.
En la primera, el tracto respiratorio superior (TRS)
presenta un proceso inflamatorio y destructivo de
la mucosa con erosiones, perforación del tabique,
hasta deformidad de la nariz. En la PAM, el TRS
sufre alteraciones leves, limitadas a rinitis y sinusitis5-7, parecidos a lo que encontramos en nuestro
paciente. Diferentes estudios muestran especificidad de ANCA-MPO en casi todos los pacientes con
FPI, como en nuestro caso. En un estudio de Nosu
y col los pacientes con FPI, con título elevado de
anticuerpos mayor a 50, tuvieron peor pronóstico
que los ANCA negativo, siendo vulnerables a desarrollar poliangeítis. En una serie publicada en Reumatology entre la asociación entre ANCA-MPO
y EPID, de 97 pacientes con anticuerpos positivos,
94% mostró un patrón peri-nuclear y el 85% especificidad para MPO12, 13.
El paciente nunca tuvo manifestaciones clínicas
de hemorragia alveolar difusa (HAD), sí antecedente de anemia y episodios repetidos de fiebre y progresión de la disnea, interpretados como neumonía
o exacerbaciones de su enfermedad de base. Por lo tanto, debemos analizar si es posible la fibrosis
pulmonar sin HAD. La afectación pulmonar en la
vasculitis asociada a ANCA-MPO puede aparecer
pragmáticamente con una HAD por capilaritis o
producirse de forma insidiosa con el desarrollo
gradual de la fibrosis pulmonar como evolución de
la inflamación pulmonar y de hemorragia alveolar
recurrente. Se postuló que la presencia de MPO
tiene un papel patogénico en el desarrollo de la FPI.
Una hipótesis remarca la presencia de hemorragias “ocultas” o sub-clínicas recurrentes que estimularían el efecto pro-fibrogénico de los anticuerpos.
Se ha sugerido que los anticuerpos ANCA-MPO
causan lesión tisular directa por liberación de los
productos de neutrófilos activados, con el desarrollo de fibrosis posterior, consecuencia del proceso
de reparación de lesión pulmonar crónica11.
Concluyendo: el diagnóstico de la vasculitis
asociada a ANCA se fundamenta en los hallazgos
clínicos mediante la biopsia de un órgano involucrado y la presencia de ANCA. Nuestro paciente
parece corresponder al caso de una PAM. El riñón
es el órgano comúnmente afectado en esta patología, pero el compromiso pulmonar ocurre entre
el 25 y 30% de los casos, siendo lo más frecuente
la HAD7, 8. Otra manifestación descripta en los últimos años asociada a la PAM es la EPID. Este
subtipo de pacientes tiene pronóstico pobre. Se
sugiere que la búsqueda de ANCA debe realizarse
en todos los pacientes con diagnóstico de FPI.
Valentina Di Boscio: Hasta el año 2010, conocemos dos enfermedades: una prevalente y otra
de peso desde una perspectiva respiratoria, asma
y FPI. Cuando se presenta con insuficiencia renal
aguda y se arriba al diagnóstico de glomerulonefritis asociada a ANCA, el primer interrogante es¿qué entidad engloba un paciente con asma, EPID
y daño renal con presencia de ANCA positivo?
Respecto a la enfermedad pulmonar, considero que
hasta la segunda TC no hubiera dicho que es una
UIP típica. Tenía infiltrado en vidrio esmerilado y
carecía de predominio de panalización subpleural
típica en las bases1,2. Dudo si los episodios que tuvo
desde el 2010 al 2013 eran reagudizaciones de su
enfermedad o eran neumonías, quizás eran infiltrados migratorios en el contexto del compromiso
pulmonar que pueden tener los pacientes que desarrollan vasculitis relacionada a ANCA, sobre todo
GW o SCS7,8. Hoy no cabe duda de que el paciente
tiene un patrón UIP típico, donde el intercambio
gaseoso es lo más deteriorado. La disminución de la FVC, como los volúmenes pulmonares, es
menor que la caída drástica de la saturación, ya
sea por oximetría basal, la prueba de caminata o
la DLCO. ¿Qué otra cosa pienso? Hasta ahora nos
focalizamos en el compromiso intersticial. Cuesta
dejar el diagnóstico de asma de lado, siendo que
en las vasculitis, principalmente en el SCS, es una
característica predominante. Diría que es una PAM
por la alta prevalencia de asociación con EPID, con
lo cual debería aceptar que tiene vasculitis con
compromiso intersticial y renal. No deja de ser
un desafío el diagnóstico debido a la presencia de
eosinofilia e IgE aumentada, que podrían corresponder al SCS, pero no encaja debido a la ausencia
de granulomas, y a la presencia de enfermedad
intersticial, no descripta en este síndrome8, 13. El
caso presentado es interesante porque tiene un
patrón tomográfico actual típico de UIP1, 3. En las
tres vasculitis relacionadas a ANCA, este sería el
patrón más concordante de compromiso pulmonar.
Ustedes no describen en la biopsia la vasculitis
necrotizante. Eso es un dato importante. Pregunto ¿en la biopsia renal pudieron constatar que había
focos de necrosis?
Vanina Martín: No, no hay más datos que lo
descripto.
Valentina Di Boscio: Es una característica contundente para diagnosticar PAM. Me inclinaría a
pensar que es una PAM con patrón fibrótico, una
UIP definitiva como la que tiene este paciente,
como forma de presentación atípica2, 3, 13. Por otro
lado, la ausencia de vasculitis necrotizante, para
el diagnóstico de PAM. Queda sin poder unir el
diagnóstico de asma con eosinofilia e IgE alta,
que podría ser parte de asma concomitante a una
vasculitis.
Respecto al pronóstico, considero que el tratamiento inicial fue adecuado. Es importante recalcar que las pacientes con ANCA-MPO presentan
mayor probabilidad de recaídas, a diferencia de los
ANCA-PR3 que poseen mayor riesgo de mortalidad. En el principal estudio que respalda el uso
de rituximab en el tratamiento de las vasculitis
relacionadas a ANCA, publicado en 2010, fue igual
de eficaz que ciclofosfamida para la inducción,
pero más eficaz para disminuir las recaídas en las
vasculitis ANCA-MPO principalmente15, 18.
Luis Catoggio: No descartaría que el asma esté vinculado y que esto haya sido SCS. Lo descripto en
la histología renal puede verse en este síndrome5, 6 aunque falta la descripción de los vasos.
En algún momento se planteó el diagnóstico
de bisinosis. Se podría pensar que está todo relacionado, porque está descripta la aparición de
ANCA-MPO secundario a drogas y a exposición
ambiental. Si bien no tengo experiencia en esta
patología, encontré un paper donde había imágenes
de bisinosis similares a la tomografía del caso. Se
debería tener presente porque este diagnóstico
podría unificar todas las manifestaciones clínicas.
Lo concreto, ahora, es la urgencia ante un pulmón tan comprometido y que el paciente presentó buena respuesta al tratamiento, ya que la función
renal se encuentra prácticamente normal. Entonces, cómo se llame su enfermedad no es lo más relevante. Lo más importante es cómo vamos a seguir.
Con respecto al planteo de la Dra. Di Boscio sobre
rituximab, adoptaré un rol crítico porque creo
que los costos son importantes. Hay una pequeña
diferencia a favor del rituximab18, pero es mucho
más costoso que ciclofosfamida oral, azatioprina
o metotrexato15, 17. Es cierto que el paciente tuvo
una muy buena respuesta y, entonces, uno quisiera
darle la mejor opción aunque la diferencia respecto
a otras drogas sea estadísticamente poco significativa16. Adoptando otra postura, lo trataría con
azatioprima o ciclofosfamida oral o micofenolato
(aunque también es costoso). Y, si el paciente presentara una recaída, indicaría rituximab17, 19. En
las series descriptas no estaba estipulado exactamente cada cuánto hay que administrarlo. Por lo
tanto, si se indica una vez por año y se encuentra
en remisión, probablemente sea “más barato” que los efectos adversos que pueden tener otras
alternativas terapéuticas18, 19.
Respecto al FAN 1/80, a veces se plantea como
un dato categórico. Ese resultado no es significativo, salvo si se describe un patrón nucleolar puro,
lo que es altamente sugestivo de esclerodermia8,14,
no en este caso. En cambio, tiene valor una ERS de
120 mm. Me parece que estos hallazgos descartan
una FPI2.
Frente a una UIP que tiene reactantes de fase
aguda mucho más elevados que los que se suele
ver en la forma idiopática, ¿ustedes no lo tratan,
independientemente del pronóstico?
Sebastián Lamot: Cuando se realiza el diagnóstico de FPI, se solicita laboratorio inmunológico. Si
es normal, continuamos con el algoritmo diagnóstico, descartando otras entidades asociadas2,14. La
duda a partir de este paciente sobre la frecuencia
de las pruebas serológicas es cada cuánto tiempo solicitarlo. Generalmente cuando el primero es
normal, el control posterior del paciente es con
EFR, TC y valoración clínica2.
Luis Catoggio: Es infrecuente un valor de ANCA
positivo con ERS normal, sin hematuria y sin otra
manifestación clínica. Yo pediría FAN y ANCA, así como reactantes de fase aguda una vez por año,
debido a la asociación frecuente con EPID2.
Valentina Di Bosio: Ante una prueba serológica
positiva, en ciertas ocasiones se espera que mejore
el pronóstico y que la sensibilidad al tratamiento
sea mayor en estos pacientes, similar a lo que
sucede relacionado a las enfermedades de tejido
conectivo (ETC)1, 2. Existen dos cosas descriptas
en la bibliografía. Por un lado, la prevalencia de
anticuerpos positivos en la población sana, en los
que padecen FPI y en la enfermedad indiferenciada
del tejido conectivo es similar8. No hay trabajos con
evidencia contundente que establezcan diferencia
en la sobrevida en los pacientes con FPI y serologías positivas. Está descripto que los pacientes con
una ETC, o lo que Vij y col denominaron EPID con
eventos autoinmunes, tienen mejor pronóstico14.
Sabemos que la enfermedad intersticial puede
preceder en años la presentación de ETC, con lo
cual comparto el hecho de solicitar al menos anualmente serologías en el seguimiento de los pacientes
con FPI. Así mismo los anticuerpos anti-nucleares
(ANA), en títulos mayores a 320 y FR a 60, son los
de mayor prevalencia14, siendo infrecuente valores
de ANCA positivo, en pacientes con FPI sin manifestaciones clínicas11,12.
La aparición de una ETC definida por criterios
clínicos y serológicos cambia el pronóstico en estos
pacientes, no solo la presencia de anticuerpos2, 14.
Luis Catoggio: El concepto de EPID con eventos
autoinmunes puede ser importante desde el punto
de vista neumonológico, pero es incompleto desde
el punto de vista del reumatólogo. La entidad
engloba todo: FAN, FR, anti esclero-70 como si
fueran lo mismo, sin embargo cada anticuerpo
significa cosas diferentes. Excepto el lupus que
tiene como un abanico de anticuerpos, las otras
entidades tienen patrones serológicos definidos.
Tienen anticuerpos específicos. Entonces creo
que si queremos hablar de enfermedad pulmonar
intersticial con autoinmunidad deberíamos defi-
nirlo mejor. Porque autoinmunidad es la tiroiditis
de Hashimoto, la diabetes tipo 1 y también la
esclerodermia, y todas son totalmente diferentes. Yo sería más cauteloso con esta clasificación que
parece estar poniéndose de moda.
Sebastián Lamot: Con el diagnóstico de FPI y
luego el de vasculitis asociada a ANCA ¿empeora
el pronóstico de la enfermedad pulmonar? En esta
circunstancia existe un tratamiento para ofrecerle,
que antes no teníamos, los inmunosupresores.
Valentina Di Bosio: Es de peor pronóstico desarrollar FPI en el contexto de una PAM. Sin dudas,
no podemos salir del camino de los inmunosupresores. Los fármacos “antifibróticos” quedaron fuera
del tratamiento. La estrategia terapéutica debe
basarse en el mantenimiento con un inmunosupresor eficaz, con adecuado perfil de seguridad, como
azatioprina, en dosis a 2 a 3 mg/kg15-17.
Marco Antonio Solís: La enfermedad intersticial
no es lo más típico como forma de presentación en
las vasculitis ANCA positivas, la mayoría debutan
con HAD7,11.
Valentina Di Bosio: El riesgo a desarrollar HAD
depende de la actividad de la vasculitis, no de la
fibrosis pulmonar. En la medida que se instaure
un tratamiento inmunosupresor adecuado para
el control de la enfermedad vascular, el riesgo de
hemorragia disminuye17.
Luis Catoggio: Lo destacado del caso es la forma de presentación, si el debut hubiera sido con
HAD, el pronóstico es aún más ominoso, porque
la mortalidad es elevada. En cuanto a la terapia
de mantenimiento, si a pesar de utilizar dosis
adecuadas de azatioprina presenta recaída, como
hemorragia alveolar o hematuria, iniciaría tratamiento con rituximab17, 18.
Conflictos de interés: Los autores declaran que no tienen conflictos de intereses relacionados con el tema de esta publicación.
1. Raghu G, Collard H, Egan J et al. An OfficialATS/ERS/JRS/ALAT Statement: Idiopathic Pulmonary Fibrosis: Evidence-based Guidelines for Diagnosis and Management. Am J Respir Crit Care Med 2011; 183: 788-824.
2. Cottin V, Crestani B, Valeyre D et al. Diagnosis and management od idiopathic pulmonary fibrosis: French practical guidelines. Eur Respir Rev 2014; 23: 193-214.
3. Devaraj A. Imaging: how to recognise idiopathic pulmonary firbosis. Eur Respir Rev 2014; 23: 215-219.
4. Dube K, Ingale L, Ingle S. Respiratory Impairment in Cotton-Ginning Workers Exposed to Cotton Dust. International Journal of Occupational Safety and Ergonomics 2013; 19(4): 551-560.
5. Jennette J, Falk R, Andrassy K et al. Nomenclature of systemic vasculitides. Proposal of an international consensus conference. Arthritis Rheum 1994; 37 (2): 187-92.
6. Mukhtyar C, Guillevin L, Cid M et al. EULAR recommendations for the management of primary small and medium vessel vasculitis. Ann Rheum Dis 2009; 68: 310-317.
7. Hellmich B, Flossmann O, Wolfgang L et al. EULAR recommendations for conducting clinical studies and/or clinical trials in systemic vasculitis: focus on antineutrophil cytoplasm antibody-associated vasculitis. Ann Rheum Dis 2007; 66(5): 605–617.
8. Lee J, Kim E, Lynch K et al. Prevalence and clinical significance of circulating autoantibodies in idiopathic pulmonary fibrosis. Respiratoty Medicine 2013; 107: 249-255.
9. Foulon G, Delaval P, Valeyre D et al. ANCA-associated lung fibrosis: analysis of 17 patients. Respir Med 2008; 102(10): 1392-8.
10. Ando M, Miyazaki E, Ishii T et al. Incidence of myeloperoxidase antineutrophli cytoplasmic antibody positivity and microscopic polyangitis in the course of idiopathic pulmonary fibrosis. Respiratory Medicine 2013; 107: 608-615.
11. Homma S, Matsushita H, Nakata K. Pulmonary fibrosis in myeloperoxidase antineutrophil cytoplasmic antibodyassociated vasculitides. Respirology 2004; 9(2): 190-6.
12. Kagiyama N, Takayanagi N, Kanauchi T et al. Antineutrophil cytoplasmic antibody-positive conversion and microscopic polyangiitis development in patients with idiopathic pulmonary fibrosis. BMJ Open Respir Res. 2015; 2(1).
13. Yamada H. ANCA: associated lung fibrosis. Semin Respir Crit Care Med 2011; 32(3): 322-7.
14. Vij R, Mary E, Strek E. Autoimmune-Featured Interstitial Lung Disease. Chest 2011; 140(5): 1292-1299.
15. Specks U, Merkel PA, Seo P et al. Efficacy of Remission-Induction Regimens for ANCA-Associated Vasculitis. N Engl J Med 2013; 369: 417-427.
16. Rúa-Figueroa Fernández I, Arruabarrena C. Tratamiento de las vasculitis sistémicas asociadas a ANCA. Reumatol Clin 2010; 6(3): 161-172.
17. Luqmani R. State of the art in the treatment of systemic vasculitis. Frontiers in Immunology 2014; (5) 471: 1-9.
18. Stone JH, Merkel PA, Spiera R et al. Efficacy of Remission-Induction Regimens for ANCA-Associated Vasculitis. N Engl J Med 2013; 369: 417-27.
19. Thiel J, Hässler F, Salzer U et al. Rituximab in the treatment of refractory or relapsing eosinophilic granulomatosis with polyangiitis (Churg-Strauss syndrome). Arthritis Res Ther 2013; 15(5): 1-9.