Autor :Merine, MarÃa Antonela1, Rojas Llanos, Georgina1, González, Alejandra1
1Pulmonology Service, Hospital Nacional Profesor Alejandro Posadas, Buenos Aires, Argentina
https://doi.org/10.56538/ramr.LGAA5992
Correspondencia : MarÃa Antonela Merine. Email: antomerine@hotmail.com
ABSTRACT
Nocardiosis is a rare infection
caused by bacteria of the Nocardia genus, widely disÂtributed saprophytic
germs. Its transmission occurs by inhalation or direct inoculation. Pulmonary
and disseminated presentation predominantly affect immunocompromised patients.
The pulmonary form is the most
common, and it can be localized or disseminated. Risk factors are
immunosuppression and pre-existing lung pathology. Disseminated forms with
central nervous system (CNS) involvement are rare in immunocompetent patients.
We present the case of an
immunocompetent patient diagnosed with disseminated nocardiosis (lung and CNS
involvement).
Key words:
Disseminated nocardiosis, Pulmonary nocardiosis, Immunocompetent
RESUMEN
La nocardiosis es una
infección poco frecuente causada por bacterias del género NoÂcardia, gérmenes saprófitos de
distribución mundial, su transmisión se da por inhalación
o inoculación directa. La presentación pulmonar y la diseminada
afectan predominanteÂmente a pacientes inmunocomprometidos.
La forma pulmonar es la más frecuente; puede ser
localizada o diseminarse. Los factores de riesgo son la inmunosupresión
y la patología pulmonar previa. Las formas diseminadas con
afectación del sistema nervioso central (SNC) son poco frecuentes en
pacientes inmunocompetentes.
Presentamos un caso de paciente inmunocompetente
con diagnóstico de nocardiosis diseminada
(afección pulmonar y del SNC).
Palabras claves: Nocardiosis diseminada, Nocardiosis pulmonar, Inmunocompetente
Received: 09/09/2024
Accepted: 10/17/2024
INTRODUCTION
The species that affect humans
are Nocardia asÂteroides (80% of cases) and Nocardia brasiliensis. Nocardia
cyriacigeorgica (an emerging species) has been implicated in severe pulmonary
infections. Inhalation and cutaneous inoculation are the most common routes of
infection. The pulmonary form is the most common, and it can be localized or
disseminated. Risk factors are immunosuppression and pre-existing lung
pathology. Disseminated forms with CNS involvement are rare in immuÂnocompetent
patients.
We present a case of disseminated
nocardiosis with lung, pleural, and CNS involvement in an immunocompetent
patient.
CASE REPORT
59-year-old male with a medical
history of arterial hyperÂtension (AHT) and solitary plasmacytoma (in
remission).
The patient reports having
experienced mucopurulent cough, asthenia, adynamia, profuse
sweating and weight loss for 3 weeks. Physical examination: 93% oxygen
saturation, hypoventilation, and dullness in the left lung field. Chest X-ray:
blunting of the left costophrenic angle and radiopaque lesion in the left lung
field. Laboratory reÂsults: leukocyte count, 14,400 (leukocyte differential?);
hemoglobin, 7.8; hematocrit, 24%; platelets, 265,000. Thoracentesis:
macroscopic appearance consistent with empyema. A pleural drainage tube was
placed. Empiric antibiotic therapy with ampicillin-sulbactam (AMS) was
initiated. Chest CT scan: left-sided hydropneumothorax with pleural drainage
tube, right-sided loculated pleuÂral effusion with organized appearance, and
bilateral pulmonary consolidations, predominantly on the right side (Fig. 1).
Pleural fluid cultures (left side): positive for nocardia cyriacigeorgica.
Right-sided pleural fluid: negative. Antibiotic regimen was changed to imipenem
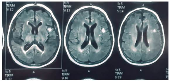
+ trimethoprim–sulfamethoxazole (TMP-SMX). Brain MRI (magnetic resonance
imaging): the left subcortical temporal region shows hyperintense 10 mm nodular
lesion with ring enhancement and restricted diffusion, consistent with an
abscess (Fig. 2).


The case is interpreted as
disseminated nocardia infection, with involvement of the pleura, lungs, and
CNS.
DISCUSSION
Nocardiosis is a rare disease,
generally opportuÂnistic, with an incidence of 0.87 cases per 100,000
individuals per year.1 It is caused by a bacterium.
Nocardia species are saprophytic
organisms with worldwide distribution and are an important component of the
normal soil and water microflora.
The species that affect humans
are Nocardia asteroides (80% of cases) and Nocardia brasiliensis. The incidence
of infections caused by Nocardia cyriacigeorgica has increased in recent years
and it has been more and more implicated in severe pulmonary infections.2
Nocardiosis is usually an
opportunistic infecÂtion, which can be either localized or disseminated.
Immunocompetent hosts can also succumb to nocardiosis (10%–50% of cases).3 The most comÂmon route of infection is through inhalation,
while direct percutaneous inoculation (in healthy individuals) is less common.
It has a generally chronic course
and tends to relapse (5%), which prompts the use of secondary prophylaxis in
patients considered high risk.4
Predisposing factors include
immunosuppresÂsion and/or pre-existing lung disease, for example
bronchiectasis.5,6,7,8
The most common forms of
presentation are pulmonary, cerebral, cutaneous, or disseminated.2
In a review of 16 patients with
nocardiosis admitted to the Banner Good Samaritan Medical Center in Phoenix,
Arizona, over a one-year period, nearly 75% had an underlying chronic pulmonary
condition. Other predisposing conditions included diabetes mellitus,
hematologic and other types of neoplasms, transplants, autoimmune disease, and
HIV/AIDS. The authors estimated that less than 10% of patients with nocardiosis
had no identifiÂable underlying predisposing factor.9
Symptoms are usually varied,
including fever, cough, dyspnea, hemoptysis, and weight loss. NeuÂrological
symptoms, such as hemiparesis, visual field disturbances, altered
consciousness, headache, or seiÂzures may appear when the central nervous
system is affected. However, it’s important to remember that neurological
symptoms may not develop.
The most common radiological
pattern consists of bilateral pulmonary nodules in 50% of the cases and
infiltrates in 35%, often associated with areas of consolidation, cavitation,
and loculated pleural effusion. Pulmonary masses have also been deÂscribed,
though less frequently.
The isolation and identification
of the organÂism from clinical samples are essential to make a diagnosis. These
bacteria grow slowly and show varying degrees of acid resistance, complicating
microbiological confirmation. Therefore, they are visualized using a modified
Ziehl-Neelsen stain that uses 1% sulfuric acid.9,10
The differential diagnosis of the
pulmonary form includes tuberculosis or community-acquired pneumonia; it can
also mimic fungal pneumonia, antineutrophil cytoplasmic antibody (ANCA)- associated vasculitis, or lung cancer.10
Central nervous system
nocardiosis in immuÂnocompetent patients is usually rare. The most frequently
found lesions are meningitis, cerebritis, granulomas, and classic brain
abscesses.11
Patients with acute disease
(symptoms lasting for less than one month) may have a worse prognoÂsis than
those with a chronic course (mortality rate of 66% vs. 18%, respectively).12 Mortality
increases when two or more contiguous organs are affected, or when there is
chronic pulmonary comorbidity, active neoplasia, if the patient had received
prior corticosteroid therapy, or if they had been given empirical antibiotic
treatment within the previous 3 months, reaching rates between 44% and 85%.13 When the
central nervous system is affected, morÂtality can range from 40% to 87%.14
The first-line treatment is
trimethoprim-sulÂfamethoxazole (TMS). In severe or immunocomÂpromised patients,
prolonged triple therapy is recommended: TMS, imipenem, and amikacin. The total
duration of treatment is recommended to be six to twelve months, which may be
extended in immunocompromised patients.15,16
Prevention of recurrence with TMS
is 4 to 6 months in localized pulmonary disease and 6 to 12 months in systemic
or CNS nocardiosis.17
CONCLUSIONS
Nocardiosis remains an
opportunistic infection and should always be considered in the differential
diagnosis of pneumonia—not only in immunocomÂpromised individuals but also in
immunocompeÂtent patients, especially when there is no response to standard
therapy.
Once diagnosed, it is recommended
that all paÂtients undergo neuroimaging, even in the absence of neurological
symptoms. Early recognition and appropriate individualized treatment are key to a successful outcome.
The treatment with sulfonamides
is usually effective. In severely ill or immunocompromised patients, prolonged
triple therapy is recommended: TMS, imipenem, and amikacin. The total duration
of treatment is recommended to be six to twelve months, which may be extended
in immunocomÂpromised patients. For recurrence prevention: TMS from 4 to 6
months in localized pulmonary disease and 6 to 12 months in systemic or CNS
nocardiosis.
Conflict of interest
The authors have no conflicts of
interest to declare.
REFERENCES
1. Tremblay J, Thibert L, Alarie
I, Valiquette L, Pépin J. Nocardiosis in Quebec, Canada, 1988-2008. ClinMicroÂbiol
Infect. 2011;17:690-6.
https://doi.org/10.1111/j.1469-0691.2010.03306.x
2. Pintado V, Gómez-Mampaso
E, Cobo J, Quereda C, MeseguÂer MA, Fortún J, et al. Nocardial infection in patients infected with the human immunodeficiency
virus. Clin Microbiol Infect. 2003l;9:716-20.
https://doi.org/10.1046/j.1469-0691.2003.00588.x
3. Domínguez DC, Antony
SJ. Actinomyces and nocardia infections in immunocompromised
and nonimmunocomÂpromised patients. J Natl Med Assoc 1999;91:35-9.
4. etmar ZA, Khodadadi RB,
Chesdachai S, et al. Epidemiology, Timing, and Secondary Prophylaxis of
Recurrent NocarÂdiosis. Open Forum
Infect Dis. 20241;11:ofae122. https://doi.org/10.1093/ofid/ofae122
5. Ferrer A, Llorenç V,
Codina G, De Gracia-Roldán J. NoÂcardiosis y
bronquiectasias. ¿Una asociación infrecuente? [Nocardiosis
and bronchiectasis. An uncommon associaÂtion?]. Enferm Infecc Microbiol
Clin. 2005;23:62-6.
https://doi.org/10.1157/13071607
6. Soria E, Buj JI, Bosch R,
Zaragoza J. Shock séptico asoÂciado a neumonía por Nocardia asteroides en paciente en tratamiento con
glucocorticoides. Enferm Infecc
Microbiol Clin. 2004;22:367-9. https://doi.org/10.1157/13063053
7. Ferrer A, Llorenç V,
Codina G, De Gracia-Roldán J. NoÂcardiosis y
bronquiectasias. ¿Una
asociación infrecuente?[Nocardiosis and bronchiectasis. An
uncommon associaÂtion?]. Enferm Infecc Microbiol Clin. 2005;23:62-6. https://doi.org/10.1157/13071607
8. Singh SM, Rau NV, Cohen LB,
Harris H. Cutaneous nocarÂdiosis complicating management of Crohn’s disease
with infliximab and prednisone. CMAJ. 2004;171:1063-4. https://doi.org/10.1503/cmaj.1040563
9. Saubolle MA, Sussland D.
Nocardiosis: review of clinical and laboratory experience. Clin Microbiol 2003;41:4497- 501.
https://doi.org/10.1128/JCM.41.10.4497-4501.2003
10. Lederman ER, Crum NF. A case
series and focused review of nocardiosis: clinical and microbiologic aspects.
Medicine (Baltimore) 2004;83:300-13.
https://doi.org/10.1097/01.md.0000141100.30871.39
11. Ozaras R, Mert A, Hakko E,
Tabak F, Ozturk R. Pulmonary, cerebral, and soft tissue nocardiosis. Lancet
Infect Dis. 2004;4:222. https://doi.org/10.1016/S1473-3099(04)00972-7
12. Kontoyiannis DP, Ruoff K,
Hooper DC. Nocardia bacÂteremia. Report
of 4 cases and review of the literaÂture. Medicine
(Baltimore). 1998;77:255-67.
https://doi.org/10.1097/00005792-199807000-00004
13. Nocardial infections: report
of 22 cases. Rev Inst Med trop S Paulo. 2007;49. https://doi.org/10.1590/S0036-46652007000400009
14. Hoeprich PD, Brandt D, Parker
RH. Nocardial brain abÂscess cured with cycloserine and sulfonamides. Am J Med
Sci. 1968;255:208-16. https://doi.org/10.1097/00000441-196803000-00008
15. Restrepo A, Clark NM. Infectious Diseases Community of Practice of the American Society
of Transplantation. Nocardia infections in solid organ transplantation:
Guidelines from the Infectious Diseases Community of Practice of the American
Society of Transplantation. Clin Transplant. 2019;33:e13509.
https://doi.org/10.1111/ctr.13509
16. Gombert ME, Aulicino TM. Synergism of imipenem and amikacin in combination with other
antibiotics against Nocardia asteroides. Antimicrob Agents Chemother. 1983;24:810-1.
https://doi.org/10.1128/AAC.24.5.810
17. Montes de Oca Arjona M, Monsalvo
Hernando M, RoÂdríguez Fernández-Viagas
C, González Fernández P. NoÂcardiosis.
Medicine-Programa de Formacion Continuada Acreditado.
2018;12:3142-52. https://doi.org/10.1016/j.med.2018.03.023