Autor : Merine, MarÃa Antonela1, Rojas Llanos, Georgina1, González, Alejandra1
1Servicio de NeumonologÃa, Hospital Nacional Profesor Alejandro Posadas, Buenos Aires, Argentina
https://doi.org/10.56538/ramr.KPGG7093
Correspondencia : MarÃa Antonela Merine. Correo electrónico: antomerine@hotmail.com
RESUMEN
La
nocardiosis es una infección poco frecuente
causada por bacterias del género NoÂcardia,
gérmenes saprófitos de distribución mundial, su
transmisión se da por inhalación o inoculación directa. La
presentación pulmonar y la diseminada afectan predominanÂtemente a
pacientes inmunocomprometidos.
La
forma pulmonar es la más frecuente; puede ser localizada o diseminarse.
Los factores de riesgo son la inmunosupresión y la patología
pulmonar previa. Las formas diseminadas con afectación del sistema
nervioso central (SNC) son poco frecuentes en pacientes inmunocompetentes.
Presentamos
un caso de paciente inmunocompetente con
diagnóstico de nocardiosis diseminada
(afección pulmonar y del SNC).
Palabras
claves: Nocardiosis diseminada, Nocardiosis
pulmonar, Inmunocompetente
ABSTRACT
Nocardiosisis
a rare infection caused by bacteria of the Nocardia genus,
widely disÂtributed saprophytic germs. Its transmission occurs by inhalation
or direct inoculation. Pulmonary and disseminated presentation predominantly affect immunocompromised patients.
The pulmonary form is the
most common, and it can be localized or disseminated. Risk factors are immunosuppression and pre-existing
lung pathology. Disseminated forms with central nervous system (CNS) involvement are rare in immunocompetent patients.
We present the case of an immunocompetent patient diagnosed with disseminated nocardiosis (lung and CNS involvement).
Key
words: Disseminatednocardiosis,
Pulmonary nocardiosis, Immunocompetent
Recibido: 09/09/2024
Aceptado: 17/10/2024
INTRODUCCIÓN
Las
especies que afectan a los humanos son la Nocardia
asteroides (80% de los casos) y Nocardia
brasiliensis. La Nocardia
cyriacigeorgica (emerÂgente) se ha implicado en
infecciones pulmonares graves. La inhalación y la inoculación
cutánea son las rutas más frecuentes de infección. La
forma pulmonar es la más frecuente, puede ser localizada o diseminarse.
Los factores de riesgo son inmunoÂsupresión y patología pulmonar
previa. Las formas diseminadas con afectación del sistema nervioso
central (SNC) son poco frecuentes en pacientes inmunocompetentes.
Presentamos
un caso de nocardiosis diseminada con afectación
pulmonar, pleural y del SNC en paciente inmunocompetente.
CASO CLÍNICO
Se
trata de un paciente masculino de 59 años con anteÂcedentes de
hipertensión arterial (HTA) y plasmocitoma
solitario (en remisión).
Presenta
cuadro de tres semanas: tos con expectoÂración mucopurulenta,
astenia, adinamia, sudoración profusa y pérdida de peso. Examen
físico saturación 93 %, hipoventilación y matidez en el
campo pulmonar izquierdo. Radiografía de tórax: borramiento de seno costodiafragmático
izquierdo e imagen radioopaca en el campo pulmonar
izquierdo. Laboratorio: leucocitos 14400, (¿fórmula leucocitaria?)
hemoglobina 7,8, hemaÂtocrito 24 % y plaquetas de 265 000. Toracocentesis:
maÂcroscopia de empiema. Se coloca un tubo de
avenamiento pleural. Se inicia empíricamente ampicilina sulbactam (AMS). Tomografía (TC) de tórax: hidroneumotórax izquierdo con tubo de drenaje
pleural, derrame pleural derecho loculado de aspecto
organizado y consolidaciones pulmonares bilaterales a predominio derecho
(Figura 1). Cultivos de líquido pleural izquierdo: Nocardia
cyriaÂcigeorgica. Líquido pleural derecho:
negativo. Se rota a imipenem + trimetoprima
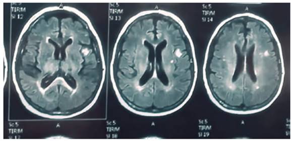
– sulfametoxasol (TMS). Resonancia magnética
nuclear (RMN) de encéfalo: En la zona temporal subcortical izquierda se
observa una imagen nodular hiperintensa con realce en
anillo de 10 mm de diámetro, que presenta restricción de la
difusión vinculable con absceso (Figura 2).


Se
interpreta cuadro como enfermedad por nocardia
diseminada: afección de pleura, pulmón y SNC.
DISCUSIÓN
La
nocardiosis es una enfermedad poco frecuente, por lo
general oportunista, con una incidencia de 0,87 casos anuales/100 000
individuos.1 Es causada por
una bacteria.
Las
nocardias son gérmenes saprófitos de
distriÂbución mundial que constituyen un componente importante de la microflora normal del suelo y el agua.
Las
especies que afectan a los humanos son la Nocardia
asteroides (80% de los casos) y la NocarÂdia
brasiliensis. La incidencia de infecciones por Nocardia cyriacigeorgica
ha aumentado en los últimos años y se ha implicado cada vez
más en infecciones pulmonares graves.2
La
nocardiosis suele ser una infección oportuÂnista,
y puede ser localizada o diseminada. Los huéspedes inmunocompetentes
pueden sucumbir a la nocardiosis (10%-50% de los
casos).3 La vía
más frecuente de infección es por inhalación y menos
frecuente por inoculación directa por vía percutánea (en
huéspedes sanos).
Su
curso generalmente es crónico y con tendenÂcia a la recaída (5%),
lo que motiva la práctica de profilaxis secundaria en pacientes
considerados de alto riesgo.4
Los
factores predisponentes incluyen inmunoÂsupresión y/o enfermedad
pulmonar preexistente, por ejemplo, bronquiectasias.5-8
Las
formas de presentación más común suelen ser la pulmonar,
cerebral, cutánea o diseminada.2
En
una revisión de dieciséis pacientes con noÂcardiosis
ingresados en el Banner Good Samaritan
Medical Center, Phoenix, Arizona, durante un período de un año,
casi el 75% tenía una afección pulmonar crónica
subyacente. Otras condiciones predisponentes incluyeron diabetes mellitus,
neoÂplasias hematológicas y de otro tipo, trasplantes, enfermedad
autoinmune y VIH/SIDA. Los autores estimaron que menos del 10% de los pacientes
con nocardiosis no tenían ningún factor
predisponente subyacente definible.9
Los
síntomas suelen ser variados incluyenÂdo fiebre, tos, disnea, hemoptisis
y pérdida de peso, síntomas neurológicos, como
hemiparesia, alteraciones del campo visual, compromiso de conciencia, cefalea o
crisis epilépticas, cuando hay afección del SNC. Aunque es
importante recordar que puede no desarrollar síntomas
neurológicos.
El
patrón imagenológico más
frecuente son los nódulos pulmonares bilaterales en un 50 % e
infiltrados en un 35 % asociado a áreas de consoÂlidación,
cavitación y derrame pleural loculado,
también se han descrito masas pulmonares en menor frecuencia.
En
cuanto al diagnóstico el aislamiento y la idenÂtificación del
organismo a partir de muestras clíniÂcas son imprescindibles, estas
bacterias tienen un crecimiento lento y diversos grados de resistencia al
ácido de las bacterias dificultan la confirmación
microbiológica, por lo que se visualizan mediante una tinción de Ziehl-Neelsen modificada, que utiÂliza ácido
sulfúrico al 1 %.9,
10
El
diagnóstico diferencial de la forma pulmonar incluye tuberculosis o
neumonía adquirida en la comunidad, también puede simular una
neumoÂnía fúngica, una vasculitis asociada a anticuerpos anticitoplasma de neutrófilos (ANCA) y un
cáncer de pulmón.10
La
nocardiosis del sistema nervioso central (SNC) en
pacientes inmunocompetentes suele ser rara. Las
lesiones encontradas con más frecuencia son meningitis, cerebritis, granulomas y abscesos cerebrales
clásicos.11
Los
pacientes con enfermedad aguda (síntomas de menos de un mes de
duración) pueden tener un peor pronóstico que aquellos con un
curso crónico (tasa de mortalidad del 66% frente al 18%, respecÂtivamente).12 La mortalidad
se incrementa cuando afecta dos o más órganos contiguos o cuando
hay comorbilidad pulmonar crónica, neoplasia activa, corticoterapia
previa y haber recibido antibioteÂrapia empírica durante los tres meses
previos y alcanza una tasa entre el 44 % y el 85 %,13
cuando afecta el sistema nervioso central puede alcanzar entre el
40 % y el 87 %.14
El
tratamiento de primera elección es TMS. En enfermos graves o
inmunodeprimidos se aconÂseja triple terapia prolongada: TMS, imipenem y amikacina. El
tratamiento se recomienda por una duración total de seis a doce meses,
que puede prolongarse en pacientes inmunocomproÂmetidos.15, 16
Prevención
de recidivas con TMS de 4 a 6 meses en la enfermedad localizada pulmonar y de 6
a 12 meses en la nocardiosis sistémica o de
SNC.17
CONCLUSIONES
La
nocardiosis sigue siendo una infección oportuÂnista,
siempre debe considerarse en el diagnóstico diferencial de la
neumonía, no solo en personas inmunocomprometidas, sino también
en inmunoÂcompetentes, especialmente cuando no
responden a la terapia estándar.
Una
vez diagnoticada se recomienda que todos los
pacientes deben tener un estudio de neuroimaÂgen aun
en ausencia de síntomas neurológicos. El reconocimiento temprano
y el tratamiento indiviÂdualizado adecuado es la clave para un resultado
exitoso.
El
tratamiento con sulfonamidas suele ser efiÂcaz. En enfermos graves o
inmunodeprimidos, se aconseja triple terapia prolongada: TMS, imipenem y amikacina. Se
recomienda una duración total de seis a doce meses, que puede
prolongarse en pacientes inmunocomprometidos. Para prevención de
recidivas: TMS de 4 a 6 meses en la enfermeÂdad localizada pulmonar y de 6 a 12
meses en la nocardiosis sistémica o de SNC.
Conflictos
de intereses
Los
autores declaran no tener conflictos de intereses.
BIBLIOGRAFÍA
1.
Tremblay J, Thibert L, Alarie I, Valiquette L, Pépin J. Nocardiosis in
Quebec, Canada, 1988-2008. Clin
MicroÂbiol Infect. 2011;17:690-6. https://doi.org/10.1111/j.1469-0691.2010.03306.x
2.
Pintado V, Gómez-Mampaso E, Cobo J, Quereda C, MeseguÂer MA, Fortún
J, et al. Nocardial infection
in patients infected with the human immunodeficiency virus. Clin Microbiol Infect. 2003l;9:716-20. https://doi.org/10.1046/j.1469-0691.2003.00588.x
3.
Domínguez DC, Antony SJ. Actinomyces
and nocardia infections in immunocompromised and nonimmunocomÂpromised
patients. J Natl Med Assoc 1999;91:35-9.
4.
etmar ZA, Khodadadi RB, Chesdachai S, et al. Epidemiology,
Timing, and Secondary Prophylaxis of Recurrent NocarÂdiosis. Open Forum Infect Dis. 20241;11:ofae122. https://doi.org/10.1093/ofid/ofae122
5.
Ferrer A, Llorenç V, Codina G, De
Gracia-Roldán J. NoÂcardiosis y bronquiectasias.
¿Una asociación infrecuente? [Nocardiosis and bronchiectasis. An uncommon associaÂtion?]. Enferm Infecc Microbiol
Clin. 2005;23:62-6. https://doi.org/10.1157/13071607
6.
Soria E, Buj JI, Bosch R, Zaragoza J. Shock
séptico asoÂciado a neumonía por Nocardia
asteroides en paciente en tratamiento con glucocorticoides. Enferm
Infecc Microbiol Clin. 2004;22:367-9.
https://doi.org/10.1157/13063053
7.
Ferrer A, Llorenç V, Codina G, De
Gracia-Roldán J. NoÂcardiosis y
bronquiectasias. ¿Una asociación infrecuente? [Nocardiosis
and bronchiectasis. An uncommon associaÂtion?]. Enferm Infecc Microbiol
Clin. 2005;23:62-6. https://doi.org/10.1157/13071607
8.
Singh SM, Rau NV, Cohen LB, Harris H. Cutaneous nocarÂdiosis complicating management of Crohn’s disease with infliximab and prednisone. CMAJ. 2004;171:1063-4.
https://doi.org/10.1503/cmaj.1040563
9.
Saubolle MA, Sussland D. Nocardiosis: review of clinical and laboratory experience. Clin Microbiol 2003;41:4497- 501.
https://doi.org/10.1128/JCM.41.10.4497-4501.2003
10.
Lederman ER, Crum NF. A
case series and focused review
of nocardiosis: clinical
and microbiologic aspects.
Medicine (Baltimore) 2004;83:300-13.
https://doi.org/10.1097/01.md.0000141100.30871.39
11.
Ozaras R, Mert A, Hakko E, Tabak F, Ozturk R. Pulmonary, cerebral,
and soft tissue nocardiosis. Lancet Infect Dis. 2004;4:222.
https://doi.org/10.1016/S1473-3099(04)00972-7
12.
Kontoyiannis DP, Ruoff K, Hooper DC. Nocardia bacÂteremia. Report of 4 cases
and review of the literaÂture. Medicine (Baltimore). 1998;77:255-67.
https://doi.org/10.1097/00005792-199807000-00004
13.
Nocardial infections: report of 22 cases. Rev Inst Med trop
S Paulo. 2007;49. https://doi.org/10.1590/S0036-46652007000400009
14.
Hoeprich PD, Brandt D,
Parker RH. Nocardial brain abscess cured with
cycloserine and sulfonamides.
Am J Med Sci. 1968;255:208-16. https://doi.org/10.1097/00000441-196803000-00008
15.
Restrepo A, Clark NM. Infectious Diseases
Community of Practice of the American Society of Transplantation. NoÂcardia infections in solid organ transplantation: Guidelines from the Infectious Diseases Community of Practice of the American Society of Transplantation. Clin Transplant. 2019;33:e13509. https://doi.org/10.1111/ctr.13509
16.
Gombert ME, Aulicino TM. Synergism of imipenem and amikacin in combination with other antibiotics
against Nocardia
asteroides. Antimicrob Agents
Chemother. 1983;24:810-1.
https://doi.org/10.1128/AAC.24.5.810
17.
Montes de Oca Arjona M, Monsalvo Hernando M, RoÂdríguez
Fernández-Viagas C, González
Fernández P. NoÂcardiosis. Medicine-Programa
de Formacion Continuada Acreditado. 2018;12:3142-52. https://doi.org/10.1016/j.med.2018.03.023